CD8A Recombinant Monoclonal Antibody
-
中文名稱:CD8A重組抗體
-
貨號:CSB-RA934881A0HU
-
規格:¥1320
-
圖片:
-
Western Blot
Positive WB detected in: MCF-7 whole cell lysate, THP-1 whole cell lysate, PC-3 whole cell lysate, 293 whole cell lysate, HepG2 whole cell lysate, A549 whole cell lysate
All lanes: CD8A antibody at 1:2000
Secondary
Goat polyclonal to rabbit IgG at 1/50000 dilution
Predicted band size: 26, 22, 31 kDa
Observed band size: 31 kDa -
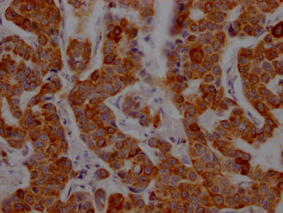
IHC image of CSB-RA934881A0HU diluted at 1:100 and staining in paraffin-embedded human breast cancer performed on a Leica BondTM system. After dewaxing and hydration, antigen retrieval was mediated by high pressure in a citrate buffer (pH 6.0). Section was blocked with 10% normal goat serum 30min at RT. Then primary antibody (1% BSA) was incubated at 4℃ overnight. The primary is detected by a Goat anti-rabbit IgG polymer labeled by HRP and visualized using 0.05% DAB.
-
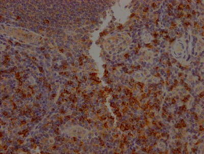
IHC image of CSB-RA934881A0HU diluted at 1:100 and staining in paraffin-embedded human tonsil tissue performed on a Leica BondTM system. After dewaxing and hydration, antigen retrieval was mediated by high pressure in a citrate buffer (pH 6.0). Section was blocked with 10% normal goat serum 30min at RT. Then primary antibody (1% BSA) was incubated at 4℃ overnight. The primary is detected by a Goat anti-rabbit IgG polymer labeled by HRP and visualized using 0.05% DAB.
-
Immunoprecipitating CD8A in HepG2 whole cell lysate
Lane 1: Rabbit control IgG instead of CSB-RA934881A0HU in HepG2 whole cell lysate. For western blotting,a HRP-conjugated Protein G antibody was used as the secondary antibody (1/2000)
Lane 2:CSB-RA934881A0HU(3μg)+ HepG2 whole cell lysate(500μg)
Lane 3: HepG2 whole cell lysate (10μg)
-
-
其他:
產品詳情
-
產品描述:CSB-RA934881A0HU CD8A重組單克隆抗體是針對人源CD8α鏈開發的高特異性科研工具,適用于多種實驗場景。該抗體識別的CD8A抗原是細胞毒性T淋巴細胞表面關鍵的共受體分子,通過與MHC I類分子相互作用參與抗原識別及T細胞活化,在適應性免疫應答中發揮重要作用。經嚴格驗證,本品在蛋白免疫印跡中能清晰檢測CD8A特異性條帶,免疫組化可精準定位組織切片中CD8+ T細胞分布,免疫沉淀實驗有效富集目標蛋白,并在ELISA體系中展現優異結合性能,推薦使用濃度分別為WB 1:500-1:5000、IHC 1:50-1:200、IP 1:200-1:1000。本產品采用重組表達技術保證批次穩定性,經多實驗平臺驗證顯示低交叉反應性,適用于T細胞亞群分析、免疫微環境研究、感染性疾病模型構建及腫瘤免疫相關機制探索等科研領域,為免疫細胞表型鑒定和功能研究提供可靠解決方案。
-
Uniprot No.:
-
基因名:
-
別名:T-cell surface glycoprotein CD8 alpha chain (T-lymphocyte differentiation antigen T8/Leu-2) (CD antigen CD8a), CD8A, MAL
-
反應種屬:Human
-
免疫原:A synthesized peptide derived from human CD8
-
免疫原種屬:Homo sapiens (Human)
-
標記方式:Non-conjugated
-
克隆類型:Monoclonal
-
抗體亞型:Rabbit IgG
-
純化方式:Affinity-chromatography
-
克隆號:2F2
-
濃度:It differs from different batches. Please contact us to confirm it.
-
保存緩沖液:Rabbit IgG in 10mM phosphate buffered saline , pH 7.4, 150mM sodium chloride, 0.05% BSA, 0.02% sodium azide and 50% glycerol.
-
產品提供形式:Liquid
-
應用范圍:ELISA, WB, IHC, IP
-
推薦稀釋比:
Application Recommended Dilution WB 1:500-1:5000 IHC 1:50-1:200 IP 1:200-1:1000 -
Protocols:
-
儲存條件:Upon receipt, store at -20°C or -80°C. Avoid repeated freeze.
-
貨期:Basically, we can dispatch the products out in 1-3 working days after receiving your orders. Delivery time maybe differs from different purchasing way or location, please kindly consult your local distributors for specific delivery time.
-
用途:For Research Use Only. Not for use in diagnostic or therapeutic procedures.
相關產品
靶點詳情
-
功能:Integral membrane glycoprotein that plays an essential role in the immune response and serves multiple functions in responses against both external and internal offenses. In T-cells, functions primarily as a coreceptor for MHC class I molecule:peptide complex. The antigens presented by class I peptides are derived from cytosolic proteins while class II derived from extracellular proteins. Interacts simultaneously with the T-cell receptor (TCR) and the MHC class I proteins presented by antigen presenting cells (APCs). In turn, recruits the Src kinase LCK to the vicinity of the TCR-CD3 complex. LCK then initiates different intracellular signaling pathways by phosphorylating various substrates ultimately leading to lymphokine production, motility, adhesion and activation of cytotoxic T-lymphocytes (CTLs). This mechanism enables CTLs to recognize and eliminate infected cells and tumor cells. In NK-cells, the presence of CD8A homodimers at the cell surface provides a survival mechanism allowing conjugation and lysis of multiple target cells. CD8A homodimer molecules also promote the survival and differentiation of activated lymphocytes into memory CD8 T-cells.
-
基因功能參考文獻:
- Studied lymphocyte phenotype in resected lymph nodes of patients with lung cancer by analyzing levels of Foxp3 and CD8 by immunohistochemical staining. PMID: 28831395
- This study compares the differences of PD-L1 expression and CD8+ tumor-infiltrating lymphocyte density, two major response biomarkers of PD-1/PD-L1 blockade, between paired primary and brain metastatic lesions in advanced non-small cell lung cancer (NSCLC). For NSCLC brain metastases patients, CD8+ tumor-infiltrating lymphocyte density showed a spatial and temporal heterogeneity. PMID: 29526752
- Endometrioid endometrial carcinomas are capable of down-regulating CD8 expression by cytotoxic T lymphocytes. PMID: 27346574
- The PD-1/CD8 ratio may, therefore, be a useful prognostic marker for stage II/III CRC. What is important for predicting the prognosis may be the PD-1/CD8 ratio rather than the absolute number of PD-1(+) tumor-infiltrating lymphocytes . PMID: 28739701
- We also observed a significant association between forkhead box protein 3 ( p = 0.001) and the Neo-Bioscore, while only a marginal difference was observed with CD8+ expression ( p = 0.074). This study demonstrated that forkhead box protein 3 expression has value as the only independent marker that predicts a good response to neoadjuvant chemotherapy and that it is related with a good prognosis according to the Neo-Biosc PMID: 28621227
- missense mutation increases susceptibility to recurrent respiratory infections PMID: 26563160
- Human mesenchymal stromal cells enhance the immunomodulatory function of CD8(+)CD28(-) regulatory T cells. PMID: 25482073
- Dendritic cells accumulate in the bone marrow of multiple myeloma patients and protect tumor plasma cells from CD8+ T-cell killing. PMID: 26185130
- Patients with the presence of CD8- and CD45RO-positive T cells in bone marrow demonstrated better survival of gastric cancer patients than those with the absence of these cells in bone marrow. PMID: 25804232
- More sCD8 circulating molecules were found in patients transfused with post-storage leucodepleted RBCs whose supernatants had large amounts of sHLA-I. sCD8 is a possible modulator of sHLA-I-mediated transfusion-related immunomodulation. PMID: 23356971
- CD8-positivity proved to be an independent prognostic predictor of worse outcome in pediatric anaplastic lymphoma kinase-positive anaplastic large cell lymphoma. PMID: 23716548
- CREMalpha orchestrates epigenetic remodeling of the CD8A,B through the recruitment of DNA methyltransferase (DNMT) 3a and histone methyltransferase G9a. PMID: 24297179
- Modified CD8A gene function may contribute to the development of refractory chronic rhinosinusitis via reduction of circulating CD8 lymphocytes. PMID: 23640800
- transcription factor cAMP-responsive element modulator alpha (CREMalpha), which is expressed at increased levels in T cells from systemic lupus erythematosus patients, contributes to transcriptional silencing of CD8A and CD8B. PMID: 24047902
- The CD8(+)CCR7(+) T-cell frequency in HNSCC patients' blood tested at diagnosis can discriminate them from normal controls and predicts disease recurrence PMID: 23363813
- The expression of human leucocyte antigen (HLA)-DR in epithelial cells and cluster of differentiation (CD8)-positive lymphocytes as possible markers of chronic ocular graft versus host disease, was investigated. PMID: 23878500
- HIV-1 clade-B Nef peptides elicit increased frequency, breadth and function of CD8+ T-cells compared to consensus peptides PMID: 23185362
- analysis of the effector phenotype of CD8+ T cells at the junction epithelium during clinical quiescence of herpes simplex virus 2 infection PMID: 22811543
- study confirms that CD8 expression is a recurrent albeit rare phenomenon in patients with chronic lymphocytic leukemia and suggests that CD8 expression has an adverse prognostic impact PMID: 22143984
- Silencing Hsp25/Hsp27 gene expression augments proteasome activity and increases CD8+ T-cell-mediated tumor killing and memory responses PMID: 22185976
- LNX1 and LNX2 interact with CD8alpha and promote its ubiquitylation and endocytosis. PMID: 22045731
- Nef-mediated down-modulation of CD8alphabeta is a fundamental property of primate lentiviruses. PMID: 22013062
- Multiple sclerosis is characterized by a dysregulation of CD8+CD56-perforin+ T cells that may play a role in the development of disability. PMID: 22001684
- Lymphoid tissue (LT)-resident CD8alpha-positive dendritic cells (DCs) and non(LT)-derived CD103-positive DCs express transgenic XCR1 and are characterized by a unique transcriptional fingerprint, irrespective of their tissue of origin. PMID: 21948982
- Coreceptor CD8alphabeta contributes to the antigen-recognition process by binding to a largely invariant region of the MHC class I molecule and by promoting intracellular signaling. PMID: 21954283
- These results suggest that the elevated frequency of PD-1(+) CD8(+) T cells could be associated with leukemic relapse in pediatric umbilical cord blood transplantation recipients. PMID: 21813446
- The aim was to determine if SPARC, FOXP3, CD8 and CD45RO expression levels are associated with colorectal cancer (CRC) stage, disease outcome and long-term cancer-specific survival PMID: 21818290
- we present the complex structures of human CD8alphaalpha bound to HLA-A*2402 PMID: 21645925
- the presence of IL-1 and/or IL-6 during activation of human CD8 T cells attenuates Fas-mediated AICD, whereas IL-12 increases the susceptibility of activated CD8 T cells to this form of cell death PMID: 21518761
- In the setting of HIV-induced lymphopenia, naive CD4-expressing T cells are recruited mainly into the proliferating pool in response to CD4 T cell depletion, whereas naive CD8-positive T cell proliferation is driven mainly by levels of HIV RNA. PMID: 21257970
- Studies indicate that The thymus leukemia (TL) antigen and CD8alphaalpha are interacting surface molecules that are expressed at the frontline of the mucosal immune system. PMID: 20850477
- PD-L1 and PD-L2 knockdown dendritic cells showed superior potential to expand minor histocompatibility antigen-specific CD8(+) effector and memory T cells from leukemia patients early after donor lymphocyte infusion and later during relapse. PMID: 20682852
- The study shows that impaired Epstein-Barr virus-specific CD8+ T-cell function in X-linked lymphoproliferative disease is restricted to SLAM family-positive B-cell targets. PMID: 20644117
- The positive rate of CD8 in primary lung cancer tissue was significantly higher than that in normal lung tissue. PMID: 20704820
- Binding of the CD8 coreceptor to class I histocompatibility molecules significantly enhances the amount of calcium released from intracellular stores, triggered by a weaker ESO1 peptide agonist. PMID: 20053942
- Four new weak but tissue-specific DNase I hypersensitivity sites have been mapped 0-0.8 kb upstream of the first exon of CD8A, in the promoter region. PMID: 11937547
- Soluble HLA-A,-B,-C and -G molecules induce apoptosis in T and NK CD8+ cells and inhibit cytotoxic T cell activity through CD8 ligation. PMID: 12594841
- expression of the HMG box protein TOX is sufficient to induce changes in coreceptor gene expression associated with beta-selection, including CD8 gene demethylation PMID: 15078895
- Establishment of a permanent CD8+ cell line from a patient with leukemic phase of acute lymphoblastic lymphoma. PMID: 15927673
- p32 recruits ganciclovir kinase to redistribute the nuclear lamina. PMID: 15975922
- Introduction of CD8 alpha down-regulates the production of major T helper (Th) type 2 cytokines and may induce differentiation of tumor-specific Th1 cells to improve the clinical potential of T cell receptor (TCR) gene transfer to treat melanoma. PMID: 16818755
- The results indicate that p.Gly111Ser is confined to the Spanish Gypsy population, where it occurs at a carrier rate of 0.4%. PMID: 17658607
- human monocytes express CD8 alpha; co-engagement of CD8 alpha and FcR enhances monocyte TNF release, suggesting FcR may be a novel partner receptor for CD8 alpha on innate immune cells PMID: 17678538
- CD8+FOXP3+ T cells play an important role in unresponsiveness related to upregulated interleukin receptors on dendritic cells. PMID: 18089323
- Data suggest that Bim-mediated attrition of HBV-specific CD8(+) T cells contributes to the inability of these cell populations to persist and control viral replication. PMID: 18398508
- tumor-induced TGF-beta may actively subvert the CD8+ arm of the immune system into directly promoting tumor growth by an IL-17-dependent mechanism PMID: 18483277
- Data suggest that a decrease in CD8+CD28- T cells may reflect impaired T-cell suppression and accordingly, increased T cell help to autoreactive B cells in patients with systemic lupus erythematosus. PMID: 18625635
- analysis of an interaction between B7-H3 and TLT-2 that preferentially enhances CD8(+) T cell activation PMID: 18650384
- polarized CD8 T cells within the HBV-infected liver may impede proliferative antiviral effector function, while contributing to the proinflammatory cytokine environment PMID: 18695005
- in patients with melanoma, who underwent a peptide-based vaccination, homodimer may represent a marker of antigen-specific T-cell memory PMID: 18833003
顯示更多
收起更多
-
相關疾?。?/div>CD8 deficiency, familial (CD8 deficiency)亞細胞定位:[Isoform 1]: Cell membrane; Single-pass type I membrane protein.; [Isoform 2]: Secreted.組織特異性:CD8 on thymus-derived T-cells usually consists of a disulfide-linked alpha/CD8A and a beta/CD8B chain. Less frequently, CD8 can be expressed as a CD8A homodimer. A subset of natural killer cells, memory T-cells, intraepithelial lymphocytes, monocytes and數據庫鏈接:
Most popular with customers
-
-
YWHAB Recombinant Monoclonal Antibody
Applications: ELISA, WB, IHC, IF, FC
Species Reactivity: Human, Mouse, Rat
-
Phospho-YAP1 (S127) Recombinant Monoclonal Antibody
Applications: ELISA, WB, IHC
Species Reactivity: Human
-
-
-
-
-















