TF Recombinant Monoclonal Antibody
-
中文名稱:TF Recombinant Monoclonal Antibody
-
貨號:CSB-RA023412MA1HU
-
規格:¥1320
-
圖片:
-
Western Blot
Positive WB detected in: HEK293 whole cell lysate(30μg)), Hela whole cell lysate(30μg)
All lanes: TF antibody at 1:1000
Secondary
Goat polyclonal to human IgG at 1/40000 dilution
Predicted band size: 77 kDa
Observed band size: 77 kDa
Exposure time: 5min -
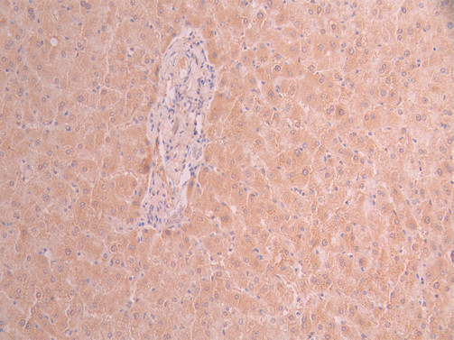
IHC image of CSB-RA023412MA1HU diluted at 1:50 and staining in paraffin-embedded human liver tissue performed on a Leica BondTM system. After dewaxing and hydration, antigen retrieval was mediated by high pressure in a citrate buffer (pH 6.0). Section was blocked with 10% normal goat serum 30min at RT. Then primary antibody (1% BSA) was incubated at 4°C overnight. The primary is detected by a Anti-Human lgG, Fcy Fragment Specific labeled by HRP and visualized using 0.05% DAB.
-
Overlay Peak curve showing HepG2 cells stained with CSB-RA023412MA1HU (red line) at 1:100. The cells were fixed in 4% formaldehyde and permeated by 0.2% TritonX-100 for 10min. Then 10% normal goat serum to block non-specific protein-protein interactions followed by the antibody (1ug/1*106cells) for 45min at 4℃. The secondary antibody used was Fluorescein (FITC) AffiniPure Goat Anti-Human IgG, Fcγ fragment specific at 1:200 dilution for 35 min at 4℃.Control antibody (green line) was human IgG1 (1ug/1*106cells) used under the same conditions. Acquisition of >10,000 events was performed.
-
-
其他:
產品詳情
-
Uniprot No.:
-
基因名:
-
別名:Serotransferrin (Transferrin) (Beta-1 metal-binding globulin) (Siderophilin), TF
-
反應種屬:Human
-
免疫原:Recombinant Human TF protein
-
免疫原種屬:Homo sapiens (Human)
-
標記方式:Non-conjugated
-
克隆類型:Monoclonal
-
抗體亞型:hIgG1
-
純化方式:Affinity-chromatography
-
克隆號:13D2
-
濃度:It differs from different batches. Please contact us to confirm it.
-
保存緩沖液:Preservative: 0.03% Proclin 300
Constituents: 50% Glycerol, 0.01M PBS, PH 7.4 -
產品提供形式:Liquid
-
應用范圍:ELISA, WB, IHC, FC
-
推薦稀釋比:
Application Recommended Dilution WB 1:500-1:2000 IHC 1:50-1:200 FC 1:50-1:200 -
Protocols:
-
儲存條件:Upon receipt, store at -20°C or -80°C. Avoid repeated freeze.
-
貨期:Basically, we can dispatch the products out in 1-3 working days after receiving your orders. Delivery time maybe differs from different purchasing way or location, please kindly consult your local distributors for specific delivery time.
-
用途:For Research Use Only. Not for use in diagnostic or therapeutic procedures.
相關產品
靶點詳情
-
功能:Transferrins are iron binding transport proteins which can bind two Fe(3+) ions in association with the binding of an anion, usually bicarbonate. It is responsible for the transport of iron from sites of absorption and heme degradation to those of storage and utilization. Serum transferrin may also have a further role in stimulating cell proliferation.; (Microbial infection) Serves as an iron source for Neisseria species, which capture the protein and extract its iron for their own use.
-
基因功能參考文獻:
- High transferrin expression is associated with Spontaneous intracranial hypotension. PMID: 29621631
- rs4525863, rs1880669, and rs2692695 SNPs of the TF gene might be a protective factor for ischemic stroke in Southern Chinese Han population. PMID: 29936663
- our data establish that blood TSAT exerts a critical role in experimental stroke-induced brain damage. In addition, our findings suggest that the protective effect of iron-free transferrin (apotransferrin, ATf) at the neuronal level resides in preventing NMDA-induced HTf uptake and ROS production, which in turn reduces neuronal damage PMID: 29248829
- Histochemical staining with anti-Tf antibody and an N-acetylglucosamine-binding lectin suggests that brain-type Tf is secreted from choroid plexus, CSF-producing tissue PMID: 29701803
- Data suggest that serum levels of biomarkers of iron status (ferritin, transferrin, and hemoglobin) are positively associated with risk of hyperuricemia in Chinese adults. PMID: 29425155
- Transfeerrin saturation was associated with less severe anemia in early CKD patients. PMID: 29227972
- Three single nucleotide polymorphisms associated with iron regulation were genotyped in multiple sclerosis : two in the human hereditary hemochromatosis protein gene HFE: rs1800562 (C282Y mutation) and rs1799945 (H63D mutation), as well as the rs1049296 SNP in the transferrin gene (C2 mutation). We only observed a higher prevalence of TF-C2 in multiple sclerosis patients PMID: 29201641
- Increased serum transferrin and ceruloplasmin turnover in diet-controlled patients with type 2 diabetes has been reported. PMID: 29079528
- model predicts that small vesicles promote activation of FX by the extrinsic tenase (VIIa/TF) significantly better than large vesicles PMID: 28935233
- This work presents an HPLC analysis of carbohydrate-deficient transferrin. PMID: 28971232
- Transferrin associated with Adenoid Cystic Carcinoma of Parotid Gland in immunohistochemical study, was found up-regulated in Pleomorphic Adenoma of the Parotid Gland. PMID: 28497265
- The RNAi knock-down of Trypanosoma brucei GSK3beta reduced Tf endocytosis. PMID: 27626104
- holotransferrin treatment to recombinant-TfR1 HepG2 cells did not elevate HAMP responses compared to untreated or wild-type cells. In PMID: 27667164
- Blood lead levels were positively associated with plasma homocysteine levels measured 4-6 years later, and three SNPs in the TF gene modified the association. PMID: 28775131
- In this technical note, the aberrant glycosylation profiles of transferrin glycoforms in congenital disorder of glycosylation patients are presented to shed light on the Mass Spectrometry of native transferrin and glycopeptides from the viewpoint of clinical glycoproteomics. PMID: 27095603
- Over the first 500 s, approximately 92,000 molecules of thrombin were generated per surface TF molecule for the 250-mum-long coating. PMID: 27605669
- High carbohydrate deficient transferrin is associated with relapse in alcohol-dependent patients. PMID: 26851349
- High Plasma Carbohydrate-deficient transferrin is associated with monoclonal light chain gammopathy. PMID: 27003373
- the value of transferrin receptors (TfRs)/cell reveals a 100-fold increase in the number of TfRs per bEnd3 cells compared to human umbilical vein cells. PMID: 27100851
- During pregnancy, the levels of 2-, 5- and 6-sialo transferrin isoforms were increasing while 3- and 4-sialo transferrin isoforms were decreasing. PMID: 27448041
- alterations in transferrin glycosylation/sialylation in pancreatic cancer differ from the alterations in some other cancers. PMID: 27312554
- In a multiple regression analysis, FN3K rs1056534, TF polymorphism and presence of diabetes mellitus were predictors for HHV-8 infection. PMID: 27461879
- the analysis of the hTf complex with a bacterial receptor that has evolved to sequester iron identifies two regions contacting rapidly evolving residues that mechanically manipulate dissociation from the pathogen PMID: 26955866
- Transferrin mutations can severely impair the diagnostics of chronic alcohol abuse. PMID: 26333807
- Total iron binding capacity was strongly associated with variants in and near the TF gene, and with variants in HFE gene in premenopausal women of European descent. PMID: 26852655
- Data suggest that up-regulation of serum transferrin levels is positively associated with risk of metabolic syndrome and overweight/obesity, but not with risk of diabetes among Chinese men and women. PMID: 25914390
- activation of PI3K/Akt by retinoic acid modulates AMPK activity in ECs and plays a crucial role in the inhibition of coagulatory factors such as TF, PAI-1, and HMGB1 in inflammatory conditions PMID: 26116962
- TF severed as the carrier to delivery irons, and could directly stimulate cardiomyocytes hypertrophy. PMID: 26099594
- Data show that transferrin (Tf) was attached to nanoparticles with an acid-cleavable linkage that facilities release of nanoparticles from Tf that are bound to Tf receptors (TfR) during transcytosis, promoting entry of the nanoparticles into the brain. PMID: 26392563
- H2O2 induces the expression of transferrin, and consequently, decreased iron absorption, suggests a novel mechanism for iron deficiency in pediatric non-alcoholic steatohepatitis patients. PMID: 25000850
- Human transferrin is internalized across the mycobacterial cell wall in a GAPDH-dependent manner within infected macrophages. PMID: 25163484
- Data suggest that the 15 disulfide bonds in transferrin vary in their susceptibility to reduction and in their contribution to protein conformation/stability. PMID: 25716754
- apelin-13 has a role in inducing expression of prothrombotic tissue factor PMID: 25298206
- identified the rs3811647 polymorphism in the TF gene as the only SNP significantly associated with iron metabolism through serum transferrin and iron levels PMID: 25457201
- significant associations between serum iron binding capacity levels and two SNPs around TF on chromosome 3 were identified. PMID: 25224454
- Hereditary hypotransferrinemia caused by novel transferrin mutations can lead to elevated transferrin saturation and, when associated with HFE or HAMP mutations, to iron overload. PMID: 25486930
- Results show that higher TF expression in patients with hypereosinophilic disorders may contribute to increase the thrombotic risk. PMID: 25375118
- genetic association studies in a population of black women in South Africa: Data confirm that an SNP in TF (rs1799852) is associated with iron status/iron-deficiency anemia in the population studied. PMID: 25809685
- decreased circulating levels in abdominal aortic aneurysm PMID: 24599423
- Infants born to mothers with the HFE C282Y gene missense variant but not the TF P570S or HFE H63D gene missense variants had lower umbilical cord blood lead levels relative to those born to women who were wild-type. PMID: 25287020
- TF translocates to the cell front in association with cytoskeleton proteins and regulates HVSMC migration by mechanisms dependent and independent of factor (F)VIIa/PAR2 PMID: 22938499
- did not find any association between the c.-2G>A polymorphism and keratoconus; no association was found between transferrin polymorphisms and Fuchs endothelial corneal dystrophy occurrence PMID: 24350254
- Understanding the interaction between [Cr(phen)3](3+) with transferrin is relevant because this protein could be a delivery agent of Cr(III) complex to tumor cells. PMID: 24972167
- Increased urinary excretion of plasma proteins such as IgG, ceruloplasmin and transferrin, with different molecular radii of 55 A or less and different isoelectric points precede development of microalbuminuria in patients with NIDDM and hypertension. PMID: 24256706
- Elevated BMI reduces the diagnostic utility of carbohydrate-deficient transferrin at higher alcohol intake in subjects with liver disease. PMID: 23875541
- Data suggest that there is no association between plasma level of carbohydrate-deficient transferrin and volume decrease of brain gray or white matter in male subjects as result of current/recent or lifetime alcohol drinking in the Netherlands. PMID: 23027680
- Studies indicate that several genes have been linked to iron homeostasis, including transferrin (TF), iron regulatory protein 1 (ACO1) and transferrin receptor 2 (TFR2). PMID: 23817740
- The A allele of SNP rs3811647 increases Tf expression in a manner that might underlie inter-individual variation in serum transferrin levels PMID: 23588470
- Transferrin mutations were found in several members of 2 non-consanguineous families with hypochromic microcytic anemia & hemodiserosis. The missense mutations were 1940 A>T & 1825 C>T. PMID: 23888904
- The structures of hTF observed here represent key conformers captured in the dynamic nature of the transferrin family proteins and provide a structural basis for understanding the mechanism of metal uptake and release in transferrin families. PMID: 23256035
顯示更多
收起更多
-
相關疾?。?/div>Atransferrinemia (ATRAF)亞細胞定位:Secreted.蛋白家族:Transferrin family組織特異性:Expressed by the liver and secreted in plasma.數據庫鏈接:
Most popular with customers
-
-
Phospho-YAP1 (S127) Recombinant Monoclonal Antibody
Applications: ELISA, WB, IHC
Species Reactivity: Human
-
-
-
-
-
-















