CTLA4 Recombinant Monoclonal Antibody
-
中文名稱:CTLA4重組抗體
-
貨號:CSB-RA006163MA1HU
-
規格:¥1320
-
圖片:
-
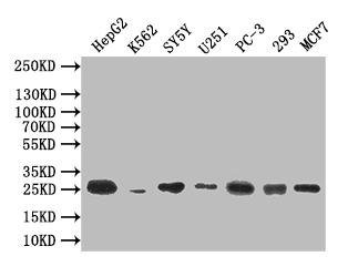
Western Blot
Positive WB detected in: HepG2 whole cell lysate, K562 whole cell lysate, SY5Y whole cell lysate, U251 whole cell lysate, PC-3 whole cell lysate, 293 whole cell lysate, MCF7 whole cell lysate
All lanes: CTLA4 antibody at 1:500
Secondary
Goat polyclonal to mouse IgG at 1/50000 dilution
Predicted band size: 25 kDa
Observed band size: 25 kDa -
Immunofluorescence staining of HEPG2 cell with CSB-RA006163MA1HU at 1:30, counter-stained with DAPI. The cells were fixed in 4% formaldehyde and blocked in 10% normal Goat Serum. The cells were then incubated with the antibody overnight at 4C. The secondary antibody was FITC-conjugated AffiniPure Goat Anti-Mouse IgG(H+L).
-
Overlay Peak curve showing JK cells surface stained with CSB-RA006163MA1HU (red line) at 1:50. Then 10% normal goat serum to block non-specific protein-protein interactions followed by the antibody (1ug/1*106cells) for 45min at 4℃. The secondary antibody used was FITC-conjugated Goat Anti-Mouse IgG(H+L) at 1/200 dilution for 35 min at 4°C. Isotype control antibody (green line) was mouse IgG1 (1μg/1*106cells) used under the same conditions. Acquisition of >10,015 events was performed.
-
-
其他:
產品詳情
-
產品描述:CTLA4重組單克隆抗體(CSB-RA006163MA1HU)是針對細胞毒性T淋巴細胞相關抗原4(CTLA4/CD152)研發的高特異性科研工具。CTLA4作為免疫檢查點關鍵調控分子,在T細胞活化抑制及免疫穩態維持中發揮重要作用,是腫瘤免疫治療和自身免疫疾病研究的重要靶點。本產品經多種應用驗證,在Western Blot中可識別天然及重組CTLA4蛋白,呈現清晰單一信號條帶;免疫熒光實驗顯示其能精準定位細胞膜及胞內結構;流式細胞術證實其適用于細胞表面抗原檢測;ELISA體系則展現出高靈敏度與線性范圍。推薦使用稀釋比例為WB 1:1000-5000、IF/FC 1:20-200。該抗體適用于探究CTLA4在T細胞功能調控、腫瘤微環境免疫逃逸、自身免疫疾病模型中的表達動態及分子機制,為免疫信號通路研究、藥物靶點篩選及免疫治療策略開發提供可靠工具,嚴格限于體外實驗研究使用。
-
Uniprot No.:
-
基因名:
-
別名:ALPS5 antibody; CD 152 antibody; CD antibody; CD152 antibody; CD152 antigen antibody; CD152 isoform antibody; Celiac disease 3 antibody; CELIAC3 antibody; CTLA 4 antibody; CTLA-4 antibody; CTLA4 antibody; CTLA4_HUMAN antibody; Cytotoxic T cell associated 4 antibody; Cytotoxic T lymphocyte antigen 4 antibody; Cytotoxic T lymphocyte associated 4 antibody; Cytotoxic T lymphocyte associated 4, soluble isoform, included antibody; Cytotoxic T lymphocyte associated antigen 4 antibody; Cytotoxic T lymphocyte associated antigen 4 short spliced form antibody; Cytotoxic T lymphocyte associated protein 4 antibody; Cytotoxic T lymphocyte associated serine esterase 4 antibody; Cytotoxic T lymphocyte protein 4 antibody; Cytotoxic T-lymphocyte protein 4 antibody; Cytotoxic T-lymphocyte-associated antigen 4 antibody; GRD4 antibody; GSE antibody; ICOS antibody; IDDM12 antibody; insulin-dependent diabetes mellitus 12 antibody; Ligand and transmembrane spliced cytotoxic T lymphocyte associated antigen 4 antibody; OTTHUMP00000216623 antibody
-
反應種屬:Human
-
免疫原:Recombinant Human CTLA4 protein
-
免疫原種屬:Homo sapiens (Human)
-
標記方式:Non-conjugated
-
克隆類型:Monoclonal
-
抗體亞型:Mouse IgG2a
-
純化方式:Affinity-chromatography
-
克隆號:13D6
-
濃度:It differs from different batches. Please contact us to confirm it.
-
保存緩沖液:Preservative: 0.03% Proclin 300
Constituents: 50% Glycerol, 0.01M PBS, PH 7.4 -
產品提供形式:Liquid
-
應用范圍:ELISA, WB, IF, FC
-
推薦稀釋比:
Application Recommended Dilution WB 1:1000-1:5000 IF 1:20-1:200 FC 1:20-1:200 -
Protocols:
-
儲存條件:Upon receipt, store at -20°C or -80°C. Avoid repeated freeze.
-
貨期:Basically, we can dispatch the products out in 1-3 working days after receiving your orders. Delivery time maybe differs from different purchasing way or location, please kindly consult your local distributors for specific delivery time.
-
用途:For Research Use Only. Not for use in diagnostic or therapeutic procedures.
相關產品
靶點詳情
-
功能:Inhibitory receptor acting as a major negative regulator of T-cell responses. The affinity of CTLA4 for its natural B7 family ligands, CD80 and CD86, is considerably stronger than the affinity of their cognate stimulatory coreceptor CD28.
-
基因功能參考文獻:
- PTPN22 and CTLA-4 polymorphisms are associated with Autoimmune polyglandular syndromes and differentiate between polyglandular and monoglandular autoimmunity. PMID: 29409002
- CTLA4 expression levels was found significantly lower in the alopecia areata patients in Iranian cohort; no association between CTLA4 genetic polymorphism and susceptibility to alopecia areata PMID: 29979892
- The CTLA-4 gene +49 A/G polymorphism and the NOD2/CARD15 gene N852S polymorphism were not associated with CD or UC in a Turkish population PMID: 30213296
- The CTLA4 gene is suggested to correlate with immune thrombocytopenia through its abnormal expression level instead of gene site mutation. PMID: 30319055
- Paget disease is characterized by an intense lymphocytic response, devoid of the immune-suppressive impact of the PD-L1 pathway, but with occasional CTLA-4 expression PMID: 29943071
- Depending on the environmental conditions, Mesenchymal stem/stromal cells express different isoforms of CTLA-4 with the secreted isoform (sCTLA-4) being the most abundant under hypoxic conditions. Furthermore, the immunosuppressive function of Mesenchymal stem/stromal cells is mediated mainly by the secretion of CTLA-4. PMID: 30087255
- Increased frequency and CTLA-4-expression of Varicella Zoster Virus-specific T cells from cerebrospinal fluid or blood are specifically found in patients with Varicella Zoster Virus-related Central Nervous System-infection. PMID: 28845512
- Rs56102377 in the 3'-UTR of CTLA4 may act as a protective factor by disrupting the regulatory role of miR-105 in CTLA4 expression. PMID: 30355938
- The present work showed in West Algerian population that the HLA-B27 antigen and the variation in the CTLA4 3'UTR region played an important role in the ankylosing spondylitis susceptibility. The heterogeneity of this disease is deduced by genetic difference found between B27+ and B27- groups. PMID: 29675891
- High CTLA4 expression is associated with Melanoma. PMID: 29150430
- CTLA4 protein had significantly higher serum level in recurrent spontaneous abortion patients than in healthy controls. In recurrent spontaneous abortion patients, AA genotype carriers had higher CTLA4 serum level than that GG genotype carriers. Minor alleles of CTLA4 polymorphisms might inhibit the recurrent spontaneous abortion susceptibility via upregulated the protein expression level. PMID: 30334961
- The results in our meta-analysis indicated that CTLA4 +49A/GG allele/AA genotype was associated with the risk of colorectal cancer in the Asian population and overall populations PMID: 29970719
- The CTLA4 -318/C/T SNP was associated with an increased risk to develop IgAN, while the CT60 G/A genotype significantly associated with the risk for higher proteinuria PMID: 29539619
- This review summarizes the current literature relevant to T cell exhaustion in patients with Hepatitis B virus (HBV)related chronic hepatitis, and discusses the roles of CTLA4 in T cell exhaustion. [review] PMID: 29786112
- Study provides evidence that CTLA4 +49 A/G (Thr/Ala) polymorphism was strongly associated with T1diabetes in south India. PMID: 29603038
- gene polymorphism is associated with psoriasis in Turkish population PMID: 29850619
- The mRNA expression of FAS was lower in patients with TP53 mutation than TP53 wild-type. Our findings suggest that TP53 mutation is a potential negative predictor of metastatic melanoma treated with CTLA-4 blockade. PMID: 29793878
- TSA results indicated that CTLA-4 +49A/G should be considered as a biomarker for HT, whereas both the CT60 and -318C/T SNPs warrant confirmation by further studies PMID: 29461867
- susceptibility to RSA was subject to the synthetic regulation of chromosomal aberrations and genetic mutations within CLTA-4 and Foxp3, suggesting that the conduction of karyotype analysis and genetic detection for RSA patients could effectively guide effective RSA counseling and sound child rearing. PMID: 29476189
- CTLA4 missense variant significantly associates with inhibitor development in Argentine patients with severe haemophilia A PMID: 28220572
- Study suggests that miR-487a-3p might repress CTLA4 and FOXO3 by binding to their 3'UTRs and contribute to the development of T1D. PMID: 29859273
- the expression of mCTLA-4 in skin lesion inversely correlated with the severity of psoriasis and CTLA-4 might play a critical role in the disease severity of psoriasis. PMID: 29305257
- Hematopoietic stem cell transplantation for CTLA4 deficiency with pathogenic mutations resulting in complex immune dysregulation syndromes. PMID: 27102614
- Our results suggest that CTLA-4 may be involved in lipid metabolism and affect Type 2 diabetes mellitus (T2DM)disease progression and/or the development of diabetic complications although this gene does not represent a major risk factor for T2DM. PMID: 29511375
- rs231775, rs4553808 and rs5742909 but not rs3087243 and rs733618 were significantly related to cancer risk. In analyses stratified by ethnicity, both rs231775 and rs4553808 were significant susceptibility polymorphisms in an Asian population but not in a Caucasian population. PMID: 29794444
- Paper analyses results of serum cytokines and lymphocyte apoptosis study in nodular goiter against the background of autoimmune thyroiditis and thyroid adenoma based on the cell preparedness to apoptosis, the number of apoptotic lymphocytes and the content of proapoptotic tumor necrosis factor-alpha, interleukins in serum, considering the polymorphism of BCL-2, CTLA-4 and APO-1 genes. PMID: 29250672
- -318C/T polymorphism of CTLA-4 gene might play a significant role in the development of SLE in the Iranian patients. PMID: 24400885
- the immune response to specific miHA mismatches is modulated by the CTLA-4 genotype of the donor PMID: 28827064
- It was concluded that the abnormal expression of endometrial E2A existed in mid-secretory endometrium of women with recurrent miscarriage, and there was a positive correlation between E2A and FOXP3, and E2A and CTLA-4, suggesting the possible regulatory role of E2A in endometrium receptivity. PMID: 29270752
- This study shows a significant overexpression of CTLA-4 in >50% of breast carcinomas with no such overexpression of CTLA-4 in benign breast tissues. PDL-1 staining is seen in only a small number of invasive ductal carcinomas (4.1%). PMID: 29672601
- CTLA4 gene is suggested to correlated with polycyctic ovary syndrome, and influence polycycstic ovary syndrome through regulating obesity and the homeostatic model assessment for insulin resistance in a novel way. PMID: 30024513
- We describe three cases of patients with mRCC treated with anti-PD-1 antibody therapy in combination with targeted therapy (bevacizumab), anti-cytotoxic T lymphocyte antigen 4 therapy (ipilimumab), or radiotherapy. PMID: 29146617
- The CTLA-4c.49A>G and CTLA-4g.319C>T single nucleotide polymorphisms might be considered as low risk susceptibility locus for prostate cancer PMID: 28101800
- anti-CTLA4/anti-PD-1/PD-L1 combinations versus anti-PD-1/PD-L1 monotherapy was selected as a factor independent of TMB for predicting better RR (77% vs. 21%; P = 0.004) and PFS (P = 0.024). Higher TMB predicts favorable outcome to PD-1/PD-L1 blockade across diverse tumors. PMID: 28835386
- Polymorphisms at IL10 (-1082 G>A), IL4 (-589 C>T), CTLA4 (+49A>G), and DAO (+8956 C>G) genes were studied in 55 cases. PMID: 28750137
- this study showed that CTLA-4 + 49A/G polymorphism was not correlated with greater genetic risk for leprosy. However, GG genotype was associated with older age, older age of onset and over-representation in male in an Iranian Azeri population. PMID: 29104093
- Our meta-analysis suggested that the +49 A/G polymorphism in CTLA4 might be a risk factor for asthma susceptibility, especially in Asian individuals, children, and patients with atopy PMID: 29995780
- Genetic polymorphisms of CTLA-4 gene on the nucleotide 49 at codon 17 of exon 1, TSHR gene SNP rs2268458 of intron 1, number of regulatory T cells and TRAb levels play a role as risk factors for relapse in patients with Graves' disease. PMID: 29093229
- These results demonstrate that POSTN promotes the osteogenic differentiation of mesenchymal stem cells (MSCs) and that CTLA4 enhances the ectopic osteogenesis of MSCs-CTLA4-based tissue-engineered bone. PMID: 28687929
- the polymorphism -318C/T of CTLA-4 gene is associated with RBC alloimmunization among sickle cell disease patients. This highlights the role played by CTLA-4 on post-transfusion alloantibody development PMID: 28815969
- Meta-analysis found that CTLA4 -318C/T gene polymorphism is not associated with the risk of acute rejection in renal transplantation in overall populations. PMID: 28449371
- Our goal was to stimulate antitumor immunity by combining SS1P or LMB-100 with anti-CTLA-4. We constructed a BALB/c breast cancer cell line expressing human mesothelin (66C14-M), which was implanted in one or two locations. SS1P or LMB-100 was injected directly into established tumors and anti-CTLA-4 administered i.p. In mice with two tumors, one tumor was injected with immunotoxin and the other was not. PMID: 28674083
- Taken together, we found that Id3+ and CTLA-4+ endometrial cells were significantly higher in women with repeated implantation failure and recurrent miscarriage, suggesting the negative roles of these angiogenesis and immune tolerance markers involving in regulating endometrium receptivity. PMID: 28224680
- study indicated that the polymorphisms of rs231775 and rs231725 would be the risk factors of Primary Biliary Cholangitis [meta-analysis] PMID: 28642883
- Suggest that genetic polymorphisms of CTLA-4 function as sex-dependent risk factors for development of acute rejection in an Iranian kidney transplant population. PMID: 28031007
- A phase Ib study of dasatinib plus ipilimumab in patients with gastrointestinal stromal tumor (GIST) and other sarcomas was performed on the basis of preclinical data demonstrating that combined KIT and CTLA-4 blockade is synergistic. PMID: 28007774
- The data we presented here showed that CTLA-4 was highly expressed in regulatory T cells and PD-1 decreased in CD8+ T cells in peripheral blood of SCLC patients, suggesting their unique mechanisms involved in immune regulation. PMID: 29167005
- Significant differences in the CpG-methylation patterns between tumor tissues and matched controls were observed for CTLA4 showing a decreased methylation of this gene in non-small cell lung cancer patients. Expression studies confirmed that hypomethylation also resulted in increased expression of CTLA4. PMID: 28503213
- The polymorphisms +49 G/A, -1661 A/G and -318 C/T may elevate the susceptibility to BC, but the polymorphism CT60 G/A may offer protection against the cancer. PMID: 28416762
- In children with idiopathic nephrotic syndrome (INS), serum CTLA-4 concentration significantly increased at remission compared with onset. Furthermore, a positive significant correlation was observed between Treg number and serum CTLA-4 level. This suggests that Treg and CTLA-4 are involved in the induction of remission in INS. PMID: 28544686
顯示更多
收起更多
-
相關疾病:Systemic lupus erythematosus (SLE); Diabetes mellitus, insulin-dependent, 12 (IDDM12); Celiac disease 3 (CELIAC3); Autoimmune lymphoproliferative syndrome 5 (ALPS5)
-
亞細胞定位:Cell membrane; Single-pass type I membrane protein. Note=Exists primarily an intracellular antigen whose surface expression is tightly regulated by restricted trafficking to the cell surface and rapid internalization.
-
組織特異性:Widely expressed with highest levels in lymphoid tissues. Detected in activated T-cells where expression levels are 30- to 50-fold less than CD28, the stimulatory coreceptor, on the cell surface following activation.
-
數據庫鏈接:
Most popular with customers
-
-
YWHAB Recombinant Monoclonal Antibody
Applications: ELISA, WB, IHC, IF, FC
Species Reactivity: Human, Mouse, Rat
-
Phospho-YAP1 (S127) Recombinant Monoclonal Antibody
Applications: ELISA, WB, IHC
Species Reactivity: Human
-
-
-
-
-















