MUC13 Antibody
-
中文名稱:MUC13兔多克隆抗體
-
貨號:CSB-PA131838
-
規格:¥1100
-
圖片:
-
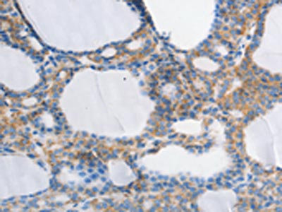
The image on the left is immunohistochemistry of paraffin-embedded Human thyroid cancer tissue using CSB-PA131838(MUC13 Antibody) at dilution 1/30, on the right is treated with synthetic peptide. (Original magnification: ×200)
-
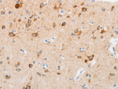
The image on the left is immunohistochemistry of paraffin-embedded Human brain tissue using CSB-PA131838(MUC13 Antibody) at dilution 1/30, on the right is treated with synthetic peptide. (Original magnification: ×200)
-
-
其他:
產品詳情
-
Uniprot No.:
-
基因名:
-
別名:Down-regulated in colon cancer 1 antibody; DRCC1 antibody; FLJ20063 antibody; MUC 13 antibody; MUC-13 antibody; Muc13 antibody; MUC13 Down regulated in colon cancer 1 antibody; MUC13_HUMAN antibody; Mucin 13; cell surface associated antibody; Mucin-13 antibody; PRO20221 antibody; RECC antibody; UNQ6194 antibody
-
宿主:Rabbit
-
反應種屬:Human
-
免疫原:Synthetic peptide of Human MUC13
-
免疫原種屬:Homo sapiens (Human)
-
標記方式:Non-conjugated
-
抗體亞型:IgG
-
純化方式:Antigen affinity purification
-
濃度:It differs from different batches. Please contact us to confirm it.
-
保存緩沖液:-20°C, pH7.4 PBS, 0.05% NaN3, 40% Glycerol
-
產品提供形式:Liquid
-
應用范圍:ELISA,IHC
-
推薦稀釋比:
Application Recommended Dilution ELISA 1:2000-1:5000 IHC 1:25-1:100 -
Protocols:
-
儲存條件:Upon receipt, store at -20°C or -80°C. Avoid repeated freeze.
-
貨期:Basically, we can dispatch the products out in 1-3 working days after receiving your orders. Delivery time maybe differs from different purchasing way or location, please kindly consult your local distributors for specific delivery time.
-
用途:For Research Use Only. Not for use in diagnostic or therapeutic procedures.
相關產品
靶點詳情
-
功能:Epithelial and hemopoietic transmembrane mucin that may play a role in cell signaling.
-
基因功能參考文獻:
- The results suggest that MUC13 overexpression and loss of expression of AGR2 may predict the progression of Intraductal papillary mucinous neoplasm and an unfavorable prognosis in patients with Intraductal papillary mucinous neoplasm PMID: 29650332
- our study first demonstrated that USF1 could activate the transcription of MUC13, thereby enhancing the proliferation and self-renewal of glioblastoma stem cells PMID: 29441861
- MUC13 high expression is a novel independent adverse prognostic factor of clinical outcome in non-metastatic clear cell renal cell carcinoma patients after surgery. PMID: 27911274
- Luciferase assays and western blot confirmed MUC13 as a target gene of miR1323p. PMID: 28339011
- Results from this study demonstrate that MUC13 Functionally interacts and activates HER2 at p1248 in PDAC cells, leading to stimulation of HER2 signaling cascade, including ERK1/2, FAK, AKT and PAK1 as well as regulation of the growth, cytoskeleton remodeling and motility, invasion of PDAC cells-all collectively contributing to PDAC progression. PMID: 27321183
- High MUC13 expression is associated with renal cell carcinoma and drug resistance. PMID: 28205224
- A combination of MUC13/MUC20 expression was a potential prognostic marker for patients with ESCC, who received neoadjuvant chemotherapy followed by surgery. PMID: 26323930
- Results show that pancreatic ductal adenocarcinoma cells express higher levels of MUC13 and is associated with poor outcome when expressed at low level. PMID: 25672256
- Based on nasopharyngeal MUC13 gene expression in readily available Nasopharyngeal aspirate samples , we can discriminate between severity of disease in Respiratory syncytial virus infected infants. PMID: 25261323
- These results suggest miR-145 as a novel regulator of MUC13 in pancreatic cancer. PMID: 25277192
- Overexpression of MUC13 increased cell growth, colony formation, cell migration, and invasion in colon cancer cells. PMID: 24097071
- MUC13 is epigenetically regulated in ovarian cancer. PMID: 25048476
- Overexpression of MUC13 is associated with pancreatic neuroendocrine tumors. PMID: 24114056
- GALNT14 may contribute to ovarian carcinogenesis through aberrant glycosylation of MUC13. PMID: 23708057
- Metastatic colon cancer and liver metastasis tissue samples demonstrated significantly (p<0.05) higher cytoplasmic and nuclear MUC13 expression compared with non-metastatic colon cancer and adjacent normal colon samples. PMID: 22914648
- MUC13 overexpression caused a significant increase in cell motility, invasion, proliferation, and anchorage-dependent or -independent clonogenicity while decreasing cell-cell and cell-substratum adhesion in pancreatic cancer. PMID: 22027689
- The various functional domains of MUC13 may confer oncogenic potential to MUC13 PMID: 21450906
- MUC13 is a good differentiation marker for gastrointestinal mucosa PMID: 15904467
- Aberrant intestinal expression and allelic variant MUC13 is associated with inflammatory bowel disease. PMID: 17058067
- Reflux laryngitis is associated with down-regulation of mucin gene expression. PMID: 18834073
- Findings show the aberrant expression of MUC13 in ovarian cancer and that its expression alters the cellular characteristics of SKOV-3 cells. This implies a significant role of MUC13 in ovarian cancer. PMID: 19176398
顯示更多
收起更多
-
亞細胞定位:Cell membrane; Single-pass type I membrane protein. Apical cell membrane. Secreted. Note=Also exists as a soluble form.
-
組織特異性:Highly expressed in epithelial tissues, particularly those of the gastrointestinal and respiratory tracts, such as large intestine and trachea, followed by kidney, small intestine, appendix and stomach.
-
數據庫鏈接:
Most popular with customers
-
-
YWHAB Recombinant Monoclonal Antibody
Applications: ELISA, WB, IHC, IF, FC
Species Reactivity: Human, Mouse, Rat
-
Phospho-YAP1 (S127) Recombinant Monoclonal Antibody
Applications: ELISA, WB, IHC
Species Reactivity: Human
-
-
-
-
-















