MSTN Antibody
-
中文名稱:MSTN兔多克隆抗體
-
貨號:CSB-PA293957
-
規格:¥1100
-
圖片:
-
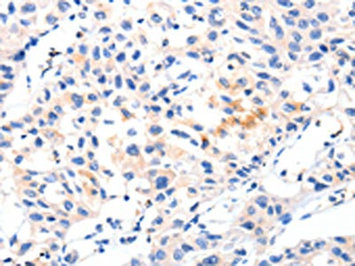
The image on the left is immunohistochemistry of paraffin-embedded Human breast cancer tissue using CSB-PA293957(MSTN Antibody) at dilution 1/8, on the right is treated with synthetic peptide. (Original magnification: ×200)
-
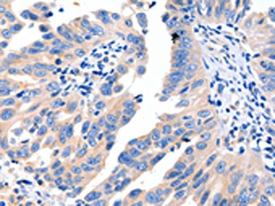
The image on the left is immunohistochemistry of paraffin-embedded Human lung cancer tissue using CSB-PA293957(MSTN Antibody) at dilution 1/8, on the right is treated with synthetic peptide. (Original magnification: ×200)
-
-
其他:
產品詳情
-
Uniprot No.:
-
基因名:
-
別名:Cmpt antibody; GDF-8 antibody; GDF8_HUMAN antibody; Growth/differentiation factor 8 antibody; MSLHP antibody; MSTN antibody; MSTN myostatin antibody; Myostatin antibody; Myostatin Propeptide antibody
-
宿主:Rabbit
-
反應種屬:Human,Mouse,Rat
-
免疫原:Synthetic peptide of Human MSTN
-
免疫原種屬:Homo sapiens (Human)
-
標記方式:Non-conjugated
-
抗體亞型:IgG
-
純化方式:Antigen affinity purification
-
濃度:It differs from different batches. Please contact us to confirm it.
-
保存緩沖液:-20°C, pH7.4 PBS, 0.05% NaN3, 40% Glycerol
-
產品提供形式:Liquid
-
應用范圍:ELISA,IHC
-
推薦稀釋比:
Application Recommended Dilution ELISA 1:1000-1:2000 IHC 1:5-1:20 -
Protocols:
-
儲存條件:Upon receipt, store at -20°C or -80°C. Avoid repeated freeze.
-
貨期:Basically, we can dispatch the products out in 1-3 working days after receiving your orders. Delivery time maybe differs from different purchasing way or location, please kindly consult your local distributors for specific delivery time.
-
用途:For Research Use Only. Not for use in diagnostic or therapeutic procedures.
相關產品
靶點詳情
-
功能:Acts specifically as a negative regulator of skeletal muscle growth.
-
基因功能參考文獻:
- Mstn deficiency-induced apoptosis took place along with generation of reactive oxygen species and elevated fatty acid oxidation, which may play a role in triggering mitochondrial membrane depolarization, the release of cytochrome c, and caspase activation. PMID: 30241032
- the maturation and secretion of myostatin precursor MstnPP and its metabolites in a human muscle cell line, was investigated. PMID: 29546591
- Acute high-intensity interval exercise decreased irisin levels and increased myostatin levels. PMID: 29558345
- Autosomal Dominant Polycystic Kidney Disease patients with moderately preserved renal function have higher levels of FasL, myostatin and urine TGF-beta1 than controls PMID: 29794429
- Tolloid cleavage activates latent GDF8 by destabilizing specific prodomain-growth factor interfaces and primes the growth factor for release from the prodomain. PMID: 29343545
- Myostatin pathway is down-regulated in the neuromuscular diseases. PMID: 29192144
- the prodomain:GDF8 complex can exist in a fully latent state and an activated or "triggered" state where the prodomain remains in complex with the mature domain PMID: 29348202
- Higher serum myostatin levels correlated with muscle mass loss, hyperammonemia, and impaired protein synthesis, as reflected by lower serum albumin levels and lower branched-chain amino acid to tyrosine ratio levels. High serum myostatin levels were also associated with a reduced OS rate in LC patients. PMID: 28627027
- Study showed the expression of myostatin in healthy endometrium and a higher expression in endometriosis and endometrial cancer, suggesting myostatin involvement in human endometrial physiology and related pathologies. PMID: 28345488
- Studied levels of myostatin in both serum and synovial fluid in patients with knee osteoarthritis and found both correlated with severity of knee osteoarthritis. PMID: 27878995
- Myostatin (and Smad2) were significantly up-regulated in the failing heart of female patients, but not male patients. PMID: 28465115
- The Growth Differentiation Factor 11 (GDF11) and Myostatin (MSTN) in tissue specific aging. PMID: 28472635
- MSTN 153Arg(R) polymorphism is associated with long distance running success. PMID: 28007336
- GDF8 promotes ovarian cancer cell migration via ALK4/5-SMAD2/3-E-cadherin signaling. PMID: 27481097
- Results demonstrat that GDF8 stimulates the expression and secretion of CTGF in human granulosa cells and provide evidence that both proteins may play critical roles in the regulation of extracellular matrix formation in these cells. PMID: 27392496
- These studies identify distinctive structural features of GDF11 that enhance its potency, relative to GDF8; however, the biological consequences of these differences remain to be determined. PMID: 28257634
- Serum myostatin levels were significantly decreased in heart failure patients and associated with lower extremity muscle wasting. PMID: 27390974
- our data showed a virtual absence of the variant (K) allele in MSTN rs1805086 in Japanese population, and no differences in allele/genotype frequencies in ACTN3 rs1815739 among centenarians and healthy controls of this country. PMID: 27861536
- MSTN, but not GDF11, declines in healthy men throughout aging. PMID: 27304512
- Multivariate regression analysis revealed that myostatin levels correlated significantly with tricuspid annular plane systolic excursion values and right ventricle myocardial performance index among the study patients PMID: 27323660
- Study measured circulating myostatin levels in seven inherited muscle diseases using an immunoaffinity LC-MS/MS approach, found significantly lower serum myostatin concentrations in numerous muscle disease patient populations and the associations with clinical measurements suggests the potential utility of myostatin as a biomarker of genetic muscle disease progression PMID: 28074267
- data indicated that serum myostatin concentration did not correlate with muscle and bone mass in postmenopausal women PMID: 27144806
- Myostatin mRNA expression in skeletal muscle was significantly reduced compared with pre-exercise values at all time points with no difference between exercise intensity. PMID: 27467217
- Low expression of serum MSTN is associated with Cachexia Prevention in Patients with Medullary Thyroid Cancer. PMID: 27165248
- Myostatin was differentially expressed in the muscle and adipose tissue in relation to physical activity and dysglycaemia PMID: 26572800
- Our results suggest that serum levels of myostatin and irisin are related in patients with type 2 diabetes PMID: 26438394
- Matrix metalloproteinase 14 was highly expressed in uterine leiomyoma and correlated with myostatin and activin A mRNA expression. Moreover, MMP14 and myostatin mRNA expression correlated significantly and directly with the intensity of dysmenorrhea. PMID: 26138721
- A synthetic peptide corresponding to this decorin region dose-dependently inhibited the response to myostatin in cardiomyocytes PMID: 27559042
- Findings suggest that GDF8 and CTGF may play critical roles in the regulation of proliferative events in human granulosa cells. PMID: 26577677
- Myostatin concentrations in plasma and protein expression in placental tissue are significantly higher in women with preeclampsia. Cytokine production by first-trimester placental tissues was altered following myostatin treatment. PMID: 25736326
- Myostatin is a well-described negative regulator of postnatal skeletal and cardiac muscle mass and modulates metabolic processes. It functions in the heart, skeletal muscle, and brain. Review. PMID: 27034275
- Plasma myostatin levels are increased in chronic obstructive pulmonary disease patients who have cor pulmonale. PMID: 26998756
- In human granulosa cells, GDF8 may play an important role in the modulation of cellular responsiveness to gonadotropins and in the regulation of ovarian steroid production, most likely as a luteinization inhibitor. PMID: 26607022
- Plasma myostatin might be suitable in predicting weight regain after marked weight loss, but no association with weight loss was observed in patients undergoing a non-surgical weight loss program. PMID: 26393401
- Plasma MSTN level was elevated in an early stage of CKD, which could be involved in the progression of sarcopenia. PMID: 26502079
- it is becoming clearer that besides its conventional role in muscle, myostatin plays a critical role in metabolism. Hence, molecular mechanisms by which myostatin regulates several key metabolic processes need to be further explored. PMID: 26305594
- The aim of this study was to investigate MSTN polymorphisms in an elderly sarcopenic population in Turkey and determine how they relate to sarcopenia. PMID: 26046327
- There is a significant decrease in levels of circulating myostatin in postsurgical acute phase reaction. PMID: 25749570
- Myostatin myocardial expression increases in the presence of structural cardiomyopathy either of hypertensive or other origin. PMID: 25915890
- In contrast to elite endurance and power track and field athletes, the MSTN 153RR genotype was not found in short distance-swimmers, and among the long distance-swimmers it was not associated with top level swimming performance. PMID: 25936293
- Lower serum myostatin independently associated with MetS, central obesity, low HDL-C, and high triglycerides after adjustment. Higher serum myostatin is associated with favorable metabolic profiles. PMID: 25254550
- Results indicate that GDF8 down-regulates PTX3 expression via SMAD-dependent signaling in human granulosa cells suggesting a potential role for GDF8 in the regulation of follicular function. PMID: 25641196
- Adenomyotic tissues express high levels of myostatin, follistatin, and activin type II receptors. PMID: 26086422
- This is the first demonstration of a spatial asymmetry in the expression pattern of Mstn/IGF-I in healthy hearts, which is likely to play a role in the different growth regulation of left vs. right ventricle PMID: 25591711
- Myostatin expression in placental tissue is altered under stress conditions (e.g. obesity and abnormal glucose metabolism) found in pregnancies complicated with gestational diabetes mellitus. PMID: 25443639
- we show that the K153R mutation significantly increases the rate of proteolysis of promyostatin by furin, but has no effect on the activity of the latent complex or the cleavage of the latent complex by bone morphogenetic protein 1 (BMP-1). PMID: 25543063
- MyoD acts to promote SC proliferation and transition of cells into differentiation, while myogenin is known to drive terminal differentiation PMID: 25108351
- role of myostatin in cardiovascular disease and cachexia PMID: 24680839
- Myostatin localization was positively identified in extravillous trophoblast. Myostatin positively affected proliferation and migration of extravillous trophoblast. PMID: 25093622
- The present study demonstrated that the variant alleles of MSTN A55T and K153R polymorphisms could significantly enhance muscle hypertrophy in response to strength training among Han Chinese men. PMID: 24479661
顯示更多
收起更多
-
相關疾病:Muscle hypertrophy (MSLHP)
-
亞細胞定位:Secreted.
-
蛋白家族:TGF-beta family
-
數據庫鏈接:
Most popular with customers
-
-
YWHAB Recombinant Monoclonal Antibody
Applications: ELISA, WB, IHC, IF, FC
Species Reactivity: Human, Mouse, Rat
-
Phospho-YAP1 (S127) Recombinant Monoclonal Antibody
Applications: ELISA, WB, IHC
Species Reactivity: Human
-
-
-
-
-















