MAGEA4 Antibody
-
中文名稱:MAGEA4兔多克隆抗體
-
貨號:CSB-PA059198
-
規格:¥1100
-
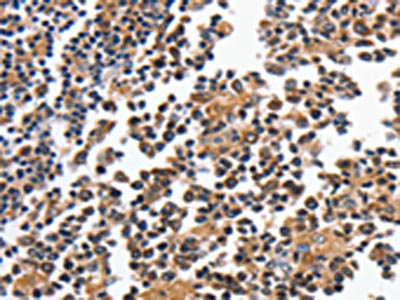
圖片:
-
其他:
產品詳情
-
Uniprot No.:
-
基因名:
-
別名:Cancer/testis antigen 1.4 antibody; CT1.4 antibody; MAGA4_HUMAN antibody; MAGE 4 antibody; MAGE 4 antigen antibody; MAGE 41 antibody; MAGE 41 antigen antibody; MAGE 4A antibody; MAGE 4B antibody; MAGE X2 antibody; MAGE X2 antigen antibody; MAGE-4 antigen antibody; MAGE-41 antigen antibody; MAGE-X2 antigen antibody; MAGE4 antibody; MAGE41 antibody; MAGE4A antibody; MAGE4B antibody; MAGEA 4 antibody; MAGEA4 antibody; Melanoma antigen family A 4 antibody; Melanoma associated antigen 4 antibody; Melanoma-associated antigen 4 antibody; MGC21336 antibody
-
宿主:Rabbit
-
反應種屬:Human
-
免疫原:Fusion protein of Human MAGEA4
-
免疫原種屬:Homo sapiens (Human)
-
標記方式:Non-conjugated
-
抗體亞型:IgG
-
純化方式:Antigen affinity purification
-
濃度:It differs from different batches. Please contact us to confirm it.
-
保存緩沖液:-20°C, pH7.4 PBS, 0.05% NaN3, 40% Glycerol
-
產品提供形式:Liquid
-
應用范圍:ELISA,IHC
-
推薦稀釋比:
Application Recommended Dilution ELISA 1:1000-1:5000 IHC 1:5-1:20 -
Protocols:
-
儲存條件:Upon receipt, store at -20°C or -80°C. Avoid repeated freeze.
-
貨期:Basically, we can dispatch the products out in 1-3 working days after receiving your orders. Delivery time maybe differs from different purchasing way or location, please kindly consult your local distributors for specific delivery time.
-
用途:For Research Use Only. Not for use in diagnostic or therapeutic procedures.
相關產品
靶點詳情
-
功能:Regulates cell proliferation through the inhibition of cell cycle arrest at the G1 phase. Also negatively regulates p53-mediated apoptosis.
-
基因功能參考文獻:
- MAGEA4 was positively correlated with TWIST1, and its knockdown inhibited EMT in TE3 cells. PMID: 28653599
- Because of the significant correlation of MAGEA4 and indices of poor prognosis, the role of this CTA may be confirmed in Esophageal squamous cell carcinoma (ESCC) aggressiveness and metastasis. Therefore, MAGEA4 may be a promising therapeutic candidate for suppressing ESCC aggressiveness PMID: 30197348
- Study shows that whereas MAGEA4 expression by itself may be indicative of a poor prognosis in primary lung cancer, its prognostic value depends entirely on its subcellular localization and on the p53 status. The accumulation of nuclear MAGEA4 expression without p53 expression is significantly associated with poor survival, implying that MAGEA4 inhibits apoptosis and increases tumorigenesis. PMID: 29901069
- MAGE-A4 depletion from MAGE-A4-expressing cancer cells destabilizes RAD18. PMID: 27377895
- Our results support...the potential utility of MAGEA4 as an ancillary diagnostic marker for synovial sarcoma PMID: 28744588
- some autoantibodies, such as anti-MAGEA4, anti-CTAG1 or anti-TP53 and their combinations could possibly contribute to the development of cancer early detection tests (not necessarily restricted to gastric cancer) when being combined with other markers. PMID: 27140836
- Anti-MAGEA4 exhibited the highest sensitivity for detecting early stage colorectal cancer (CRC) and advanced adenoma. PMID: 26909861
- High MAGE-A4 expression is associated with Lung Cancer. PMID: 27793776
- Results found concomitant overexpression of MAGEA4 and TWIST1 in esophageal squamous cell carcinoma (ESCC). Also, it showed a correlation between MAGEA4 and TWIST1 expression, which was found as indirect binding of TWIST1 to the E-boxes in the MAGEA4 promoter revealing transcriptional upregulation of MAGEA4 by TWIST1. PMID: 27533647
- Results support the potential utility of NY-ESO-1, PRAME, and MAGEA4 as targets for immunotherapy and as ancillary prognostic parameters in synovial sarcomas. PMID: 27993576
- CTAs (MAGE-A4, NY-ESO-1, MAGE-A10) were more likely expressed in patients with squamous cell carcinoma of the lung and when CTAs combined with CD133, they can be better prognostic factors. PMID: 26191258
- HLA class I loss in smokers or patients with the MAGE-A4 gene was a prognostic factors in non-small cell lung cancer . PMID: 23124547
- Expression of MAGE-A4 may make immunotherapeutic intervention possible in selected patients with thyroid cancer. PMID: 24238058
- Detection of MAGE-4 transcripts in blood may help to predict the prognosis and monitoring of the response of HCV-infected hepatocellular carcinoma patients to therapy PMID: 22653756
- Mage-A4 expression and serum identification is and potential therapeutic target in estrogen receptor negative breast cancer. PMID: 23172894
- MAGEA4 promotes growth by preventing cell cycle arrest and by inhibiting apoptosis mediated by the p53 transcriptional targets. PMID: 22842486
- High MAGE-4 gene expression is associated with metastases in hepatitis C virus patients complicated by hepatocellular carcinoma. PMID: 21452042
- MAGE-A4 is identified as a specific biomarker of esophageal squamous cell carcinoma with a possible oncogenic role contributing to tumor progression. PMID: 21613820
- novel HLA-A2-restricted T cell epitope derived from MAGE-4 was identified PMID: 21815906
- High MAGE-A4 gene expression is associated with head and neck squamous cell carcinoma PMID: 20715104
- Report immunohistochemical expression of MAGE-A4 in renal oncocytoma and chromophobe renal cell carcinoma. PMID: 20591578
- positive expression in patients with non-small cell lung cancer is associated with poorer overall survival PMID: 19545928
- MAGE-4 protein may have a role in development of hepatocellular carcinogenesis in cirrhotic patients PMID: 11985796
- MAGE-A4 expression in bladder transitional cell carcinoma. PMID: 12209610
- strong MAGE-A4 expression and to a lesser degree NY-ESO-1 expression is characteristic of the vast majority of uterine carcinosarcomas and a major subset of papillary serous carcinomas PMID: 12209997
- MAGE-A4 binds to gankyrin and suppresses its oncogenic activity. PMID: 12525503
- a cleaved form of MAGE-A4 binds to Miz-1 and induces apoptosis PMID: 14739298
- MAGE-A4(143-151) and SAGE(715-723) are HLA-A2402-restricted CTL epitopes PMID: 16061876
- Expression may represent potential targets for cancer immunotherapy in patients with non small cell lung carcinoma. PMID: 16596224
- Expressed in a large part of epithelial skin tumors with predominantly scattered immunoexpression pattern in organ-transplant recipients. PMID: 17214847
- Its expression is significantly associated with prognostic factors in poor outcome of the non-small cell lung cancer. PMID: 18982744
- Overexpression of MAGE-A4 is associated with bladder cancer. PMID: 19533752
顯示更多
收起更多
-
組織特異性:Expressed in many tumors of several types, such as melanoma, head and neck squamous cell carcinoma, lung carcinoma and breast carcinoma, but not in normal tissues except for testes and placenta.
-
數據庫鏈接:
Most popular with customers
-
-
YWHAB Recombinant Monoclonal Antibody
Applications: ELISA, WB, IHC, IF, FC
Species Reactivity: Human, Mouse, Rat
-
Phospho-YAP1 (S127) Recombinant Monoclonal Antibody
Applications: ELISA, WB, IHC
Species Reactivity: Human
-
-
-
-
-















