ICOSLG Antibody
-
中文名稱:ICOSLG兔多克隆抗體
-
貨號:CSB-PA010958ESR1HU
-
規格:¥440
-
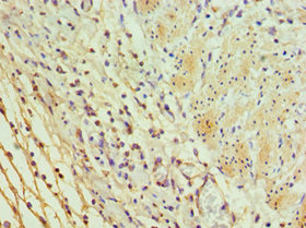
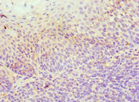
圖片:
-
其他:
產品詳情
-
產品名稱:Rabbit anti-Homo sapiens (Human) ICOSLG Polyclonal antibody
-
Uniprot No.:
-
基因名:
-
別名:ICOSLG; B7H2; B7RP1; ICOSL; KIAA0653; ICOS ligand; B7 homolog 2; B7-H2; B7-like protein Gl50; B7-related protein 1; B7RP-1; CD antigen CD275
-
宿主:Rabbit
-
反應種屬:Human
-
免疫原:Recombinant Human ICOS ligand protein (19-256AA)
-
免疫原種屬:Homo sapiens (Human)
-
標記方式:Non-conjugated
-
克隆類型:Polyclonal
-
抗體亞型:IgG
-
純化方式:Antigen Affinity Purified
-
濃度:It differs from different batches. Please contact us to confirm it.
-
保存緩沖液:PBS with 0.02% sodium azide, 50% glycerol, pH7.3.
-
產品提供形式:Liquid
-
應用范圍:ELISA, IHC
-
推薦稀釋比:
Application Recommended Dilution IHC 1:20-1:200 -
Protocols:
-
儲存條件:Upon receipt, store at -20°C or -80°C. Avoid repeated freeze.
-
貨期:Basically, we can dispatch the products out in 1-3 working days after receiving your orders. Delivery time maybe differs from different purchasing way or location, please kindly consult your local distributors for specific delivery time.
-
用途:For Research Use Only. Not for use in diagnostic or therapeutic procedures.
相關產品
靶點詳情
-
功能:Ligand for the T-cell-specific cell surface receptor ICOS. Acts as a costimulatory signal for T-cell proliferation and cytokine secretion; induces also B-cell proliferation and differentiation into plasma cells. Could play an important role in mediating local tissue responses to inflammatory conditions, as well as in modulating the secondary immune response by co-stimulating memory T-cell function.
-
亞細胞定位:Cell membrane; Single-pass type I membrane protein.
-
蛋白家族:Immunoglobulin superfamily, BTN/MOG family
-
組織特異性:Isoform 1 is widely expressed (brain, heart, kidney, liver, lung, pancreas, placenta, skeletal muscle, bone marrow, colon, ovary, prostate, testis, lymph nodes, leukocytes, spleen, thymus and tonsil), while isoform 2 is detected only in lymph nodes, leuko
-
數據庫鏈接:
Most popular with customers
-
-
YWHAB Recombinant Monoclonal Antibody
Applications: ELISA, WB, IHC, IF, FC
Species Reactivity: Human, Mouse, Rat
-
Phospho-YAP1 (S127) Recombinant Monoclonal Antibody
Applications: ELISA, WB, IHC
Species Reactivity: Human
-
-
-
-
-















