FAP Antibody
-
中文名稱:FAP兔多克隆抗體
-
貨號:CSB-PA949422
-
規格:¥1100
-
圖片:
-
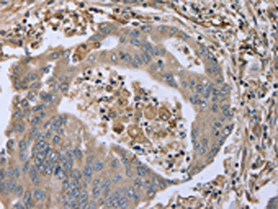
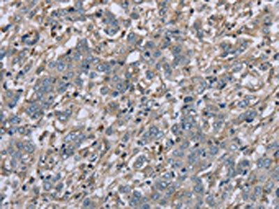
The image on the left is immunohistochemistry of paraffin-embedded Human liver cancer tissue using CSB-PA949422(FAP Antibody) at dilution 1/30, on the right is treated with fusion protein. (Original magnification: ×200)
-
The image on the left is immunohistochemistry of paraffin-embedded Human colon cancer tissue using CSB-PA949422(FAP Antibody) at dilution 1/30, on the right is treated with fusion protein. (Original magnification: ×200)
-
-
其他:
產品詳情
-
Uniprot No.:
-
基因名:
-
別名:170 kDa melanoma membrane bound gelatinase antibody; 170 kDa melanoma membrane-bound gelatinase antibody; DPPIV antibody; FAP antibody; FAPA antibody; Fibroblast activation protein alpha antibody; Integral membrane serine protease antibody; SEPR_HUMAN antibody; Seprase antibody
-
宿主:Rabbit
-
反應種屬:Human,Mouse
-
免疫原:Fusion protein of Human FAP
-
免疫原種屬:Homo sapiens (Human)
-
標記方式:Non-conjugated
-
抗體亞型:IgG
-
純化方式:Antigen affinity purification
-
濃度:It differs from different batches. Please contact us to confirm it.
-
保存緩沖液:-20°C, pH7.4 PBS, 0.05% NaN3, 40% Glycerol
-
產品提供形式:Liquid
-
應用范圍:ELISA,IHC
-
推薦稀釋比:
Application Recommended Dilution ELISA 1:2000-1:5000 IHC 1:50-1:200 -
Protocols:
-
儲存條件:Upon receipt, store at -20°C or -80°C. Avoid repeated freeze.
-
貨期:Basically, we can dispatch the products out in 1-3 working days after receiving your orders. Delivery time maybe differs from different purchasing way or location, please kindly consult your local distributors for specific delivery time.
-
用途:For Research Use Only. Not for use in diagnostic or therapeutic procedures.
相關產品
靶點詳情
-
功能:Cell surface glycoprotein serine protease that participates in extracellular matrix degradation and involved in many cellular processes including tissue remodeling, fibrosis, wound healing, inflammation and tumor growth. Both plasma membrane and soluble forms exhibit post-proline cleaving endopeptidase activity, with a marked preference for Ala/Ser-Gly-Pro-Ser/Asn/Ala consensus sequences, on substrate such as alpha-2-antiplasmin SERPINF2 and SPRY2. Degrade also gelatin, heat-denatured type I collagen, but not native collagen type I and IV, vitronectin, tenascin, laminin, fibronectin, fibrin or casein. Also has dipeptidyl peptidase activity, exhibiting the ability to hydrolyze the prolyl bond two residues from the N-terminus of synthetic dipeptide substrates provided that the penultimate residue is proline, with a preference for Ala-Pro, Ile-Pro, Gly-Pro, Arg-Pro and Pro-Pro. Natural neuropeptide hormones for dipeptidyl peptidase are the neuropeptide Y (NPY), peptide YY (PYY), substance P (TAC1) and brain natriuretic peptide 32 (NPPB). The plasma membrane form, in association with either DPP4, PLAUR or integrins, is involved in the pericellular proteolysis of the extracellular matrix (ECM), and hence promotes cell adhesion, migration and invasion through the ECM. Plays a role in tissue remodeling during development and wound healing. Participates in the cell invasiveness towards the ECM in malignant melanoma cancers. Enhances tumor growth progression by increasing angiogenesis, collagen fiber degradation and apoptosis and by reducing antitumor response of the immune system. Promotes glioma cell invasion through the brain parenchyma by degrading the proteoglycan brevican. Acts as a tumor suppressor in melanocytic cells through regulation of cell proliferation and survival in a serine protease activity-independent manner.
-
基因功能參考文獻:
- FAP is virtually absent in normal tissues, but it is present in the embryonic and tumor tissues, which makes it a selective and versatile model. In this work, basic approaches to affecting the CAF using FAP as a target were discussed. PMID: 30383930
- In this study, authors confirm that FAPalpha can promote the generation of Tregs and TAMs, which suggests that FAPalpha plays a immunosuppressive role in the tumor microenvironment PMID: 29273462
- Mounting evidence supported that miR-30a-5p directly targetted FAP and suppressed its expression in oral cavity cancer cells (OSCCs). By suppressing FAP expression, miR-30a-5p significantly inhibited cell propagation, migration, and invasion. Therefore, miR-30a-5p might be a new therapeutic target for oral cancer treatment. PMID: 29026005
- These results revealed that FAPalpha promoted the growth, adhesion and migration of lung squamous cell carcinoma cells. In addition, FAPalpha regulated lung cancer cell function, potentially via the PI3K and SHH pathways. Further investigations are required to examine the role of FAPalpha in lung AC cells. PMID: 29115573
- Several isoforms of DPP-IV and FAP are present in glioblastoma tissue. The absence of alkaline isoforms of both enzymes in glioma cell lines however suggests that isoforms from other, most likely stromal, cell types contribute to the overall pattern seen in glioblastoma tissues. PMID: 28452380
- These results indicated that the low plasma FAPalpha level might due to the systemic reaction to the presence of tumor and circulating FAPalpha level might be a potential indicator for diagnosing ESCC. PMID: 28415791
- The predictors for FAP occurrence among desmoid tumor patients are large tumor size, intra-abdominal location, multiple tumors, and patient's young age. PMID: 28570749
- This evidence highly suggested that FAP is a potential prognosticator of GC patients and a target for synergizing with other treatments, especially immune checkpoint blockades in GC. PMID: 27983931
- Mutations to predicted TM interfacial residues (G10L, S14L, and A18L) comprising a small-X3-small motif reduced FAP TM-CYTO dimerization relative to wild type. Predicted off-interface residues showed no significant change from wild type. The interfacial TM residue G10L decreased FAP endopeptidase activity more than 25%, and reduced cell-surface versus intracellular expression relative to interfacial S14L and A18L. PMID: 27155568
- proCOL11A1, fibroblast-activated protein, secreted protein acidic and rich in cysteine, and periostin expression was significantly increased in the intratumoral stroma of pancreatic ductal adenocarcinomas compared to paired non-neoplastic pancreata PMID: 29025374
- Circulating FAP activity and antigen levels correlate strongly when measured in liver disease and coronary heart disease. PMID: 28582421
- Fibroblast activation protein (P=.00117) was stronger than grade and stage in predicting clinical aggressiveness in clear cell renal cell carcinoma. PMID: 27063470
- expression of FAP in primary tumors and in their metastases was associated both with synchronous metastases and also with metastases to the lymph nodes PMID: 28033421
- have identified fibroblast activation protein (FAP) as the endopeptidase responsible for this site-specific cleavage of human FGF21 (hFGF21), and propose that inhibition of FAP may be a therapeutic strategy to increase endogenous levels of active FGF21. PMID: 27118870
- DPP4 activity and/or structure homologue (DASH) proteins are involved in many pathophysiological processes and have therefore been proposed for potential biomarkers or even drug targets in various cancers (DPP4 and FAP). (Review) PMID: 26671446
- FAP expression is significantly upregulated in human masticatory mucosa during wound healing PMID: 28005267
- Expression of FAPalpha in stroma was associated with distant metastasis of breast phyllodes tumor. PMID: 27881889
- High FAPalpha expression is associated with glioblastoma. PMID: 27492457
- Increased FAPalpha expression is associated with thyroid papillary carcinoma. PMID: 26715280
- The level of FAP expression in NGP-127, SJCRH30, and SJSA-1 lines as well as in cancer-associated fibroblasts of patients was comparable, which makes these cell lines a possible model for studying FAP PMID: 27817025
- NPY is efficiently cleaved by FAP indicating a potential function for FAP in neuropeptide regulation within liver and cancer biology. PMID: 26621486
- degradomic study highlights cell-contextual proteolysis by FAPalpha with distinct positional profiles. Generally, our findings link FAPalpha to key aspects of CAF biology and attribute an important role in tumor-stroma interaction to FAPalpha PMID: 26304112
- Data suggest that a DNA vaccine targeting human fibroblast activation protein alpha (FAPalpha) may be an attractive and effective cancer immunotherapy strategy. PMID: 27020681
- In this study, we show for the first time the expression of FAP in activated fibroblasts after MI and its activation by TGFbeta1. Effects of FAP on fibroblast migration and gelatinolytic activity indicate a potential role in cardiac wound healing PMID: 26319660
- the circulating protease, fibroblast activation protein, is the proteolytic enzyme responsible for hFGF21 inactivation. PMID: 26635356
- FAP is expressed by activated, collagen-synthesizing fibroblasts, but not by inactive fibroblasts or fully differentiated myofibroblasts and non-fibroblast cells in the infarct. PMID: 26454160
- This study identified fibroblast activation protein (FAP) as the enzyme that cleaves and inactivates human FGF21. PMID: 26797127
- Human FGF-21 Is a Substrate of Fibroblast Activation Protein. PMID: 26962859
- FAP selectively cleaves type I collagen resulting in increased macrophage adhesion. PMID: 26934296
- FAP sensitizes fibrosarcoma to chemotherapy and alters cell death. PMID: 26342814
- Data show that FAP and DPP4 proteins were simultaneously induced in dedifferentiating mature adipocytes supporting a potential role for these enzymes in adipose tissue remodeling and cell plasticity. PMID: 25816202
- FAP expression is associated with worse prognosis in solid tumors PMID: 25775399
- Deficiency of FAP promoted proteoglycan loss and cartilage degradation in chronic inflammatory arthritis. PMID: 25600705
- Demonstrate co-expression of FAP and DPP-IV in pancreatic alpha cells in adult humans. PMID: 25361590
- Expression of CCN2, EMA, and FAP may be involved in the activation of cancer associated fibroblasts in hepatocellular carcinoma. PMID: 25126747
- Immunofluorescence optical sectioning microscopy of FAPalpha and lipid raft markers further corroborates recruitment of FAPalpha to lipid rafts and invadopodia. PMID: 26209915
- High FAP expression is associated with increased metastasis. PMID: 25995078
- Soluble fibroblast activation protein plasma levels were reduced in coronary heart disease. PMID: 25464232
- Expression of TGF-beta1 is positively related with FAP-alpha expression in primary breast tumors. PMID: 25744843
- knockdown of FAP inactivated PTEN/PI3K/AKT and Ras-ERK and its downstream signaling regulating proliferation, migration, and invasion in oral squamous cell carcinoma cells. PMID: 24722280
- substrate repertoire and expression patterns of FAP PMID: 24470260
- An association was made with circulating levels of FAPalpha and prognosis in acute coronary syndrome. PMID: 23932048
- In vitro, FAP-alpha promotes proliferation and inhibits migration of breast cancer cells, potentially by regulating the FAK pathway. PMID: 24885257
- The study emphasized FAP as a marker for cutaneous epithelial malignancy and confirmed its diagnostic usefulness in the distinction of Basal cell carcinoma from Trichoepithelioma, and Squamous cell carcinoma from Pseudoepitheliomatous hyperplasia PMID: 24595644
- A positive correlation between the expression of FAP-alpha and DPPIV and the activity of both gelatinases was found. PMID: 24789592
- IHC revealed protein expression of all four genes. IHC staining for ADAM12, FAP, and WISP1 correlated with CDR and was higher, whereas SOX11 staining was lower in tumors with earlier recurrence following excision PMID: 24402778
- FAP is essential for the migration of bone marrow mesenchymal stem cells through RhoA activation. PMID: 24551161
- We found that seprase is transcriptionally up-regulated in invasive melanoma cells via the canonical TGF-beta signaling pathway, supporting the roles of both TGF-beta and seprase in tumor invasion and metastasis. PMID: 24727589
- C1088T variant in fibroblast activation protein is associated with ER stress, loss of enzymatic function and loss of cell surface localisation. PMID: 24717288
- results suggested that FAPalpha might directly promote tumor growth and invasiveness in ovarian cancer cells PMID: 24028972
顯示更多
收起更多
-
亞細胞定位:[Prolyl endopeptidase FAP]: Cell surface. Cell membrane; Single-pass type II membrane protein. Cell projection, lamellipodium membrane; Single-pass type II membrane protein. Cell projection, invadopodium membrane; Single-pass type II membrane protein. Cell projection, ruffle membrane; Single-pass type II membrane protein. Membrane; Single-pass type II membrane protein.; [Antiplasmin-cleaving enzyme FAP, soluble form]: Secreted.; [Isoform 2]: Cytoplasm.
-
蛋白家族:Peptidase S9B family
-
組織特異性:Expressed in adipose tissue. Expressed in the dermal fibroblasts in the fetal skin. Expressed in the granulation tissue of healing wounds and on reactive stromal fibroblast in epithelial cancers. Expressed in activated fibroblast-like synoviocytes from in
-
數據庫鏈接:
Most popular with customers
-
-
YWHAB Recombinant Monoclonal Antibody
Applications: ELISA, WB, IHC, IF, FC
Species Reactivity: Human, Mouse, Rat
-
Phospho-YAP1 (S127) Recombinant Monoclonal Antibody
Applications: ELISA, WB, IHC
Species Reactivity: Human
-
-
-
-
-















