EFNA5 Antibody
-
中文名稱:EFNA5兔多克隆抗體
-
貨號:CSB-PA498240
-
規格:¥1100
-
圖片:
-
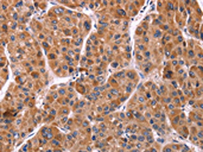
The image on the left is immunohistochemistry of paraffin-embedded Human liver cancer tissue using CSB-PA498240(EFNA5 Antibody) at dilution 1/40, on the right is treated with synthetic peptide. (Original magnification: ×200)
-
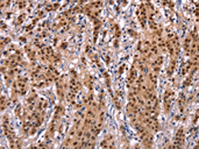
The image on the left is immunohistochemistry of paraffin-embedded Human gastric cancer tissue using CSB-PA498240(EFNA5 Antibody) at dilution 1/40, on the right is treated with synthetic peptide. (Original magnification: ×200)
-
-
其他:
產品詳情
-
Uniprot No.:
-
基因名:
-
別名:EPLG7 antibody; AF1 antibody; AL 1 antibody; AL-1 antibody; EFL5 antibody; Efna5 antibody; EFNA5_HUMAN antibody; EPH-related receptor tyrosine kinase ligand 7 antibody; Ephrin A5 antibody; Ephrin-A5 antibody; EPLG7 antibody; GLC1M antibody; LERK-7 antibody; LERK7 antibody; RAGS antibody
-
宿主:Rabbit
-
反應種屬:Human,Mouse,Rat
-
免疫原:Synthetic peptide of Human EFNA5
-
免疫原種屬:Homo sapiens (Human)
-
標記方式:Non-conjugated
-
抗體亞型:IgG
-
純化方式:Antigen affinity purification
-
濃度:It differs from different batches. Please contact us to confirm it.
-
保存緩沖液:-20°C, pH7.4 PBS, 0.05% NaN3, 40% Glycerol
-
產品提供形式:Liquid
-
應用范圍:ELISA,IHC
-
推薦稀釋比:
Application Recommended Dilution ELISA 1:2000-1:5000 IHC 1:50-1:200 -
Protocols:
-
儲存條件:Upon receipt, store at -20°C or -80°C. Avoid repeated freeze.
-
貨期:Basically, we can dispatch the products out in 1-3 working days after receiving your orders. Delivery time maybe differs from different purchasing way or location, please kindly consult your local distributors for specific delivery time.
-
用途:For Research Use Only. Not for use in diagnostic or therapeutic procedures.
相關產品
靶點詳情
-
功能:Cell surface GPI-bound ligand for Eph receptors, a family of receptor tyrosine kinases which are crucial for migration, repulsion and adhesion during neuronal, vascular and epithelial development. Binds promiscuously Eph receptors residing on adjacent cells, leading to contact-dependent bidirectional signaling into neighboring cells. The signaling pathway downstream of the receptor is referred to as forward signaling while the signaling pathway downstream of the ephrin ligand is referred to as reverse signaling. Induces compartmentalized signaling within a caveolae-like membrane microdomain when bound to the extracellular domain of its cognate receptor. This signaling event requires the activity of the Fyn tyrosine kinase. Activates the EPHA3 receptor to regulate cell-cell adhesion and cytoskeletal organization. With the receptor EPHA2 may regulate lens fiber cells shape and interactions and be important for lens transparency maintenance. May function actively to stimulate axon fasciculation. The interaction of EFNA5 with EPHA5 also mediates communication between pancreatic islet cells to regulate glucose-stimulated insulin secretion. Cognate/functional ligand for EPHA7, their interaction regulates brain development modulating cell-cell adhesion and repulsion.
-
基因功能參考文獻:
- These results indicate a novel mechanism of ephrin-Eph signaling independent of direct cell contact and proteolytic cleavage and suggest the participation of EphB2(+) extracellular vesicles in neural development and synapse physiology. PMID: 27354374
- MiR-96 and miR-182 are upregulated in hepatocellular carcinoma and negatively associated with ephrin A5 expression. PMID: 25663355
- the structure of the ligand-binding domain of the EphA3 receptor in complex with its preferred ligand, ephrin-A5, is reported. PMID: 25993310
- The genetic variations c.668C>T (rs201008479), c.102C>T (rs199980747) and c.-27C>G (rs200187971) may present an additional genetic risk factor for age-related cataract in the Chinese population. PMID: 25300504
- Data indicate that ephrin-A5 binding directly facilitates the formation of Eph/ephrin clusters by inducing conformational changes in the ligand-binding domain (LBD) of EphA4. PMID: 23959867
- Transgenic ephrin-A5 plays a critical role in postnatal lens fiber organization to maintain lens transparency: cells in the ephrin-A5-deficient lens are severely disorganized PMID: 23401654
- EphrinA5, especially ephrinA5S, acts as a tumor suppressor in hepatocarcinogenesis. PMID: 22860012
- This study presented that EFNA5 showed strong associations with alcohol withdrawal symptoms. PMID: 22072270
- Data suggest that ephrinA5 mRNA/protein levels are reduced in colon adenocarcinoma compared to normal colon tissue; staging/grading indicates that ephrinA5 inhibits colon adenocarcinoma progression via c-Cbl-mediated EGFR ubiquitination/degradation. PMID: 22074469
- ephrin-A5-induced cell-morphologic changes of EphA3-positive LK63 pre-B acute lymphoblastic leukemia cells PMID: 18385452
- These observations indicate that only a subset of signal transduction pathways is required for ephrin-A5-induced growth cone collapse. PMID: 18563700
- ephrinA5 acted as a tumor suppressor in glioma, and its negative regulation of EGFR contributed to the suppressive effects. PMID: 19270726
- EFNA5 down-regulation is a consistent finding in chondrosarcomas PMID: 19695673
顯示更多
收起更多
-
亞細胞定位:Cell membrane; Lipid-anchor, GPI-anchor. Membrane, caveola; Lipid-anchor, GPI-anchor. Note=Compartmentalized in discrete caveolae-like membrane microdomains.
-
蛋白家族:Ephrin family
-
數據庫鏈接:
Most popular with customers
-
-
YWHAB Recombinant Monoclonal Antibody
Applications: ELISA, WB, IHC, IF, FC
Species Reactivity: Human, Mouse, Rat
-
Phospho-YAP1 (S127) Recombinant Monoclonal Antibody
Applications: ELISA, WB, IHC
Species Reactivity: Human
-
-
-
-
-















