CLDN10 Antibody
-
中文名稱:CLDN10兔多克隆抗體
-
貨號:CSB-PA228012
-
規格:¥1100
-
圖片:
-
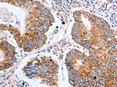
The image on the left is immunohistochemistry of paraffin-embedded Human colon cancer tissue using CSB-PA228012(CLDN10 Antibody) at dilution 1/50, on the right is treated with synthetic peptide. (Original magnification: ×200)
-
The image on the left is immunohistochemistry of paraffin-embedded Human liver cancer tissue using CSB-PA228012(CLDN10 Antibody) at dilution 1/50, on the right is treated with synthetic peptide. (Original magnification: ×200)
-
-
其他:
產品詳情
-
Uniprot No.:
-
基因名:CLDN10
-
別名:CLDN10; Claudin-10; Oligodendrocyte-specific protein-like; OSP-like
-
宿主:Rabbit
-
反應種屬:Human
-
免疫原:Synthetic peptide of Human CLDN10
-
免疫原種屬:Homo sapiens (Human)
-
標記方式:Non-conjugated
-
抗體亞型:IgG
-
純化方式:Antigen affinity purification
-
濃度:It differs from different batches. Please contact us to confirm it.
-
保存緩沖液:-20°C, pH7.4 PBS, 0.05% NaN3, 40% Glycerol
-
產品提供形式:Liquid
-
應用范圍:ELISA,IHC
-
推薦稀釋比:
Application Recommended Dilution ELISA 1:1000-1:10000 IHC 1:50-1:200 -
Protocols:
-
儲存條件:Upon receipt, store at -20°C or -80°C. Avoid repeated freeze.
-
貨期:Basically, we can dispatch the products out in 1-3 working days after receiving your orders. Delivery time maybe differs from different purchasing way or location, please kindly consult your local distributors for specific delivery time.
-
用途:For Research Use Only. Not for use in diagnostic or therapeutic procedures.
相關產品
靶點詳情
-
功能:Plays a major role in tight junction-specific obliteration of the intercellular space, through calcium-independent cell-adhesion activity. Involved in the regulation of paracellular epithelia permeability to ions in multiple organs. It acts as a paracellular ion channel probably forming permselective pores; isoform 1 appears to create pores preferentially permeable to cations and isoform 2 for anions. In sweat glands and in the thick ascending limb (TAL) of Henle's loop in kidney, it controls paracellular sodium permeability which is essential for proper sweat production and renal function.
-
基因功能參考文獻:
- The CLDN10 polymorphism of rs1325774 was significantly associated with an increased risk of breast cancer. After adjusting for age, the association remained statically significant. Furthermore, harbouring G allele in rs1325774 position was significantly associated with increased risk of breast cancer. However, no significant association among rs7333503, rs3751334, and breast cancer. PMID: 30544377
- These renal-derived features recapitulate several phenotypic aspects detected in mice with kidney specific loss of both claudin-10 isoforms. Our study adds to the spectrum of phenotypes caused by tight junction proteins and demonstrates a pivotal role for claudin-10b in maintaining paracellular Na+ permeability for sweat production and kidney function. PMID: 28686597
- localization of Cldn3, Cldn7 and Cldn10 proteins in the different compartments of murine endometrium up to day 8.5 of pregnancy (dpc) as well as in human endometrium and first trimester decidua PMID: 26340953
- Expression of CLDN1 and CLDN10 was lower in invasive lepidic predominant adenocarcinoma than in lung adenocarcioma in situ. Overexpression of CLDN1 and CLDN10 indicates a favorable prognosis in some patients with lung adenocarcinoma. PMID: 23591077
- Claudin 10 expression was down-regulated in gastric cancer. PMID: 24325792
- In claudin-10b, the F66L mutant reduced cation selectivity, and the F66A mutant lost pore conductance PMID: 23760508
- Claudin 10/18 are most commonly expressed in lung adenocarcinomas. Female patients and non-smokers express these claudins more commonly suggesting that they may play a part in the carcinogenesis of tobacco unrelated carcinoma. PMID: 22076167
- Claudin 10 protein is highly expressed in hepatocellular carcinoma (HCC) tissue and is closely related to angiogenesis. It could be a useful marker to predict poor prognosis of HCC patients after hepatectomy. PMID: 21647678
- CLDN10 is a novel biomarker for detecting ovarian cancer in the chicken, a suitable animal model for investigating the effect and function of CLDN in human ovarian cancer. PMID: 21370593
- High Claudin-10 expression level is associated with recurrence of primary hepatocellular carcinoma PMID: 15701840
- These findings showed that CLDN-10 is functionally involved in hepatocellular carcinoma invasion and is a potential target for hepatocellular carcinoma therapy. PMID: 18025272
- Claudin-10 exists in six alternatively spliced isoforms that exhibit distinct localization and function. PMID: 19383724
顯示更多
收起更多
-
相關疾病:HELIX syndrome (HELIX)
-
亞細胞定位:Cell junction, tight junction. Cell membrane; Multi-pass membrane protein.
-
蛋白家族:Claudin family
-
組織特異性:Expressed in the kidney, eccrine sweat glands and in all layers of the epidermis. In the kidney, it is detected in the thick ascending limb of Henle's loop (TAL). In the sweat glands, it is expressed in cells from secretory portions, corresponding to the
-
數據庫鏈接:
Most popular with customers
-
-
YWHAB Recombinant Monoclonal Antibody
Applications: ELISA, WB, IHC, IF, FC
Species Reactivity: Human, Mouse, Rat
-
Phospho-YAP1 (S127) Recombinant Monoclonal Antibody
Applications: ELISA, WB, IHC
Species Reactivity: Human
-
-
-
-
-















