CFD Antibody
-
中文名稱:CFD兔多克隆抗體
-
貨號:CSB-PA005271ESR2HU
-
規格:¥440
-
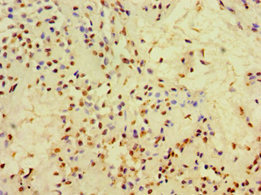
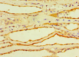
圖片:
-
其他:
產品詳情
-
產品名稱:Rabbit anti-Homo sapiens (Human) CFD Polyclonal antibody
-
Uniprot No.:
-
基因名:
-
別名:Adipsin antibody; Adipsin/complement factor D antibody; Adn antibody; C3 convertase activator antibody; CFAD_HUMAN antibody; CFD antibody; Complement factor D antibody; complement factor D preproprotein antibody; D component of complement antibody; DF antibody; FactorD antibody; PFD antibody; Properdin factor D antibody
-
宿主:Rabbit
-
反應種屬:Human
-
免疫原:Recombinant Human Complement factor D protein (26-253AA)
-
免疫原種屬:Homo sapiens (Human)
-
標記方式:Non-conjugated
-
克隆類型:Polyclonal
-
抗體亞型:IgG
-
純化方式:Antigen Affinity Purified
-
濃度:It differs from different batches. Please contact us to confirm it.
-
保存緩沖液:PBS with 0.02% sodium azide, 50% glycerol, pH7.3.
-
產品提供形式:Liquid
-
應用范圍:ELISA, IHC
-
推薦稀釋比:
Application Recommended Dilution IHC 1:20-1:200 -
Protocols:
-
儲存條件:Upon receipt, store at -20°C or -80°C. Avoid repeated freeze.
-
貨期:Basically, we can dispatch the products out in 1-3 working days after receiving your orders. Delivery time maybe differs from different purchasing way or location, please kindly consult your local distributors for specific delivery time.
-
用途:For Research Use Only. Not for use in diagnostic or therapeutic procedures.
相關產品
靶點詳情
-
功能:Factor D cleaves factor B when the latter is complexed with factor C3b, activating the C3bbb complex, which then becomes the C3 convertase of the alternate pathway. Its function is homologous to that of C1s in the classical pathway.
-
基因功能參考文獻:
- MASP-3 is the exclusive pro-factor D activator in resting blood: the lectin and the alternative complement pathways are fundamentally linked. PMID: 27535802
- disturbance of reciprocal relationships between adipsin and leptin in obesity is associated with the development of insulin resistance PMID: 28864895
- TZDs (pioglitazone, rosiglitazone, and ciglitazone) slow tumor cell growth in vitro and in vivo with decreases in cell proliferation and increases in PPARg and adipsin PMID: 28219679
- The strong association of PLIN1, CFD and ADIPOQ genes with adipogenesis prompted authors to study the influence the bone health status as evaluated by quantitative ultrasound (QUS) bone densitometer in a North Indian cohort. Overall, ADIPOQ (rs1501299 and rs3774261) and combined cluster of PLIN1 rs2304796 and rs2304795) and CFD (rs1683563) demonstrated correlation. PMID: 28189761
- our findings set up a novel mechanism for FABP4, adipsin and adiponectin through gut microbiota mediating expression in gut Paneth cells. PMID: 26687459
- Overall adipsin levels among male asbestos industry workers were significantly higher than among control subjects. PMID: 25840635
- Data indicate that a urinary protein, adipsin, was significantly increased in patients with preeclampsia. PMID: 24958499
- Study demonstrates that T2DM patients with beta cell failure are deficient in adipsin. PMID: 24995977
- Complement factor D (FD) is activated by its substrate through interactions outside the active site which lock the unbound native state into an ordered inactive conformation via the self-inhibitory loop in FD. PMID: 24598742
- We demonstrate novel secretion of adipsin and ASP by placental Hofbauer cells. PMID: 23956345
- Increased activation of the alternative complement pathway in vitreous was controlled by disease stage and genetic variation in the complement pathway, supporting a role for complement activation in macular degeneration disease pathogenesis. PMID: 22930722
- Anti factor D Fab fragment inhibits FD proteolytic function by interfering with macromolecular substrate access rather than by inhibiting FD catalysis. PMID: 22362762
- CFD regulates activation of the alternative complement pathway, which is implicated in age related macular degeneration pathogenesis. PMID: 22003108
- CFD may not play a major role in the genetic susceptibility to age-related macular degeneration. PMID: 21139680
- crystal structure of C3bB at 4 A and complex with factor D at 3.5 A; data show how factor B binding to C3b forms open "activation" state of C3bB; Factor D binds open conformation of factor B through a site distant from the catalytic center PMID: 21205667
- As adiponectin and adipsin levels in CSF did not correlate with their levels in plasma, it seems that there could be a secondary intrathecal synthesis of these adipocytokines in multiple sclerosis PMID: 19538214
- increased serum levels in patients with seasonal allergic rhinitis PMID: 19699327
顯示更多
收起更多
-
相關疾病:Complement factor D deficiency (CFDD)
-
亞細胞定位:Secreted.
-
蛋白家族:Peptidase S1 family
-
數據庫鏈接:
Most popular with customers
-
-
YWHAB Recombinant Monoclonal Antibody
Applications: ELISA, WB, IHC, IF, FC
Species Reactivity: Human, Mouse, Rat
-
Phospho-YAP1 (S127) Recombinant Monoclonal Antibody
Applications: ELISA, WB, IHC
Species Reactivity: Human
-
-
-
-
-















